Áp xe dạ dày bởi mảnh xương cá
Bà Mỹ, 57 tuổi, đau bụng, mệt mỏi, nôn ói, sốt, bác sĩ phát hiện xương cá đâm xuyên thành dạ dày tạo khối áp xe.
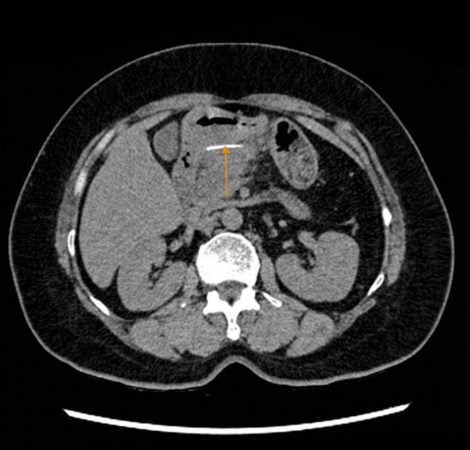
Kết quả chụp CT tại Bệnh viện Đa khoa Tâm Anh TP HCM cho thấy một dị vật dài khoảng 3 cm, mảnh, nằm ở hậu cung mạc nối, sát thành môn vị dạ dày. Bà Mỹ không biết mình nuốt phải dị vật.
Thạc sĩ, bác sĩ Võ Nhật Trường, Trung tâm Nội soi và Phẫu thuật Nội soi Tiêu hóa, cho biết dị vật đã đâm xuyên toàn bộ thành dạ dày, tạo thành khối áp xe ở hậu cung mạc nối. "Dị vật không còn nằm trong lòng dạ dày nên không thể lấy qua nội soi như thông thường", bác sĩ Trường nói.

Bác sĩ chỉ định phẫu thuật nội soi ổ bụng cho bà Mỹ để bóc tách khối áp xe, lấy dị vật, làm sạch ổ nhiễm trùng, ngăn nguy cơ áp xe vỡ khiến mủ và vi khuẩn tràn vào ổ bụng gây viêm phúc mạc, sốc nhiễm khuẩn...
Trước phẫu thuật, người bệnh phải ngưng thuốc kháng đông điều trị tim mạch trong 5 ngày đồng thời điều trị kháng sinh phổ rộng để kiểm soát nhiễm khuẩn, giảm nguy cơ chảy máu và biến chứng khi mổ.

Bác sĩ Trường cho hay khối áp xe và viêm dính nhiều. Quá trình bóc tách mô viêm tìm dị vật, tình trạng chảy máu nhiều khiến xác định vị trí khó khăn. Sau gần hai giờ, êkíp tìm thấy mảnh xương cá dài, xuyên qua mặt sau dạ dày vùng hang vị, nằm trong ổ áp xe. Bác sĩ gắp dị vật ra ngoài, làm sạch mủ, lau rửa ổ bụng, cầm máu. Lỗ thủng thành dạ dày nhỏ, đã được mô viêm bao bọc nên có khả năng tự lành.
Hậu phẫu, bà Mỹ giảm đau rõ rệt, hết sốt, hết nôn ói, xuất viện sau 5 ngày.
Bác sĩ Trường lưu ý đa số dị vật xương cá sẽ mắc kẹt lại vùng hầu họng, thực quản hoặc ruột non. Trong một số trường hợp, xương cá cứng, sắc nhọn có thể đâm xuyên qua lớp cơ dày của thành dạ dày, gây biến chứng song triệu chứng không điển hình, dễ bỏ qua.
Khi có các dấu hiệu như đau bụng dữ dội, liên tục vùng trên rốn, bụng gồng cứng hoặc đau tăng khi ấn vào, người bệnh cần đến cơ sở y tế kiểm tra. Không nên chủ quan khi xuất hiện triệu chứng bất thường bởi dị vật có thể gây ra biến chứng nghiêm trọng.
Quyên Phan
*Tên bệnh nhân đã được thay đổi
| Độc giả đặt câu hỏi về bệnh tiêu hóa tại đây để bác sĩ giải đáp |