Bà cụ bị thoát vị bịt
Bà Thoa, 77 tuổi, cân nặng 30 kg, đau vùng hố chậu bên trái lan xuống bẹn và đùi, bác sĩ chẩn đoán thoát vị bịt.
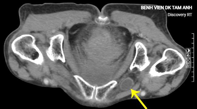
Bà có tiền sử viêm ruột, điều trị kháng sinh dài ngày không bớt, kết quả chụp CT tại Bệnh viện Đa khoa Tâm Anh cho thấy quai ruột non thoát vị bịt gây tắc ruột. ThS.BS Đào Văn Minh, khoa Ngoại tổng hợp, giải thích thoát vị bịt là tình trạng ruột chui qua ống bịt, một ống giải phẫu nằm sâu trong khung chậu, không thấy khối phồng, khó phát hiện, dễ chẩn đoán bỏ sót và chỉ chiếm dưới 1% số ca thoát vị.
Bệnh này thường gặp ở phụ nữ thể trạng gầy, như bà Thoa, cao 1,35 m, nặng 30 kg, chỉ số BMI 16,5 thuộc nhóm gầy độ hai. Do đường kính lỗ bịt ở phụ nữ lớn hơn nam giới, khung chậu rộng và nghiêng hơn khiến lỗ bịt càng mở rộng, tạo điều kiện cho thoát vị bịt.

Quai ruột thoát vị bịt của bà Thoa chưa hoại tử, bác sĩ Minh chỉ định mổ nội soi. Bác sĩ dùng ba trocar nội soi tiếp cận vùng chậu, giải phóng quai ruột thoát vị, đặt lưới nhân tạo có nút che lỗ bịt và đóng vết mổ. Bà Thoa hồi phục tốt, được bác sĩ hướng dẫn ăn uống tăng cường thể trạng, xuất viện sau 5 ngày.
Bác sĩ Minh lưu ý thoát vị bịt dễ bị nhầm với viêm khớp vì cơn đau lan từ vùng hố chậu xuống đùi và gối. Nguyên nhân là quai ruột thoát vị chèn ép thần kinh bịt - dây thần kinh đi qua một lỗ nhỏ ở khung chậu, chi phối cảm giác và vận động vùng đùi trong.

Bác sĩ Minh khuyên người bệnh cần tới bệnh viện chuyên khoa sâu khám ngay khi có triệu chứng đau quặn bụng, táo bón, không trung tiện, nôn. Các bệnh thoát vị bẹn và đùi dễ chẩn đoán, nhưng thoát vị bịt khó phát hiện trên lâm sàng và các phương pháp cận lâm sàng thông thường.
Thoát vị bịt không tự khỏi, cần phẫu thuật điều trị. Phát hiện sớm, bác sĩ có thể mổ nội soi ít xâm lấn, không cần cắt nối ruột, giúp người bệnh ít đau, hồi phục nhanh. Nếu chẩn đoán muộn, phải mổ mở, cắt bỏ quai ruột hoại tử, rửa ổ bụng khi viêm phúc mạc, khiến thời gian hồi phục kéo dài, nguy cơ biến chứng và tử vong tăng cao.
Thanh Long
| Độc giả đặt câu hỏi về bệnh tiêu hóa tại đây để bác sĩ giải đáp |