Bé 10 tuổi suýt liệt vì đột quỵ
Bé trai 10 tuổi đau đầu dữ dội, nôn ói và nhanh chóng yếu liệt nửa người trái sau khi chơi thể thao, được bác sĩ can thiệp kịp thời, tránh nguy cơ tử vong và di chứng nặng.
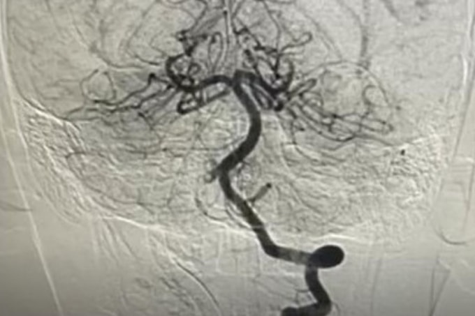
Ngày 8/2, BS.CK2 Nguyễn Minh Tiến, Phó giám đốc Bệnh viện Nhi đồng Thành phố, cho biết bệnh nhi nhập viện trong tình trạng nguy kịch. Kết quả MRI cho thấy bé bị nhồi máu não cấp, kèm huyết khối gần như tắc hoàn toàn động mạch đốt sống phải - tình trạng có thể gây tử vong hoặc để lại di chứng thần kinh nặng nề.
Trước nhập viện, bé tham gia hoạt động thể thao, không ghi nhận chấn thương hay va đập. Tuy nhiên, sau đó xuất hiện các triệu chứng thần kinh cấp tính như đau đầu dữ dội, nôn ói nhiều, rối loạn đi đứng và yếu dần nửa người trái.
Các bác sĩ nhanh chóng hội chẩn liên khoa, chỉ định chụp mạch máu não và can thiệp nội mạch cấp cứu. BS.CK2 Trần Công Bảo Phụng và êkíp đã tiêu sợi huyết tại chỗ kết hợp hút huyết khối, tái thông hoàn toàn mạch máu não. Sau một tuần điều trị, bệnh nhi tỉnh táo, vận động phục hồi gần như bình thường, không ghi nhận di chứng thần kinh.
Theo bác sĩ Phụng, can thiệp nội mạch điều trị nhồi máu não ở trẻ em rất khó do mạch máu nhỏ và triệu chứng không điển hình. Việc phát hiện sớm và chuyển kịp thời đến cơ sở có khả năng can thiệp chuyên sâu là yếu tố quyết định tiên lượng.
Nhồi máu não ở trẻ em là bệnh lý hiếm gặp, có thể xảy ra từ sơ sinh đến 16 tuổi. Khác với người lớn vốn thường bị đột quỵ do xơ vữa động mạch, nguyên nhân ở trẻ chủ yếu xuất phát từ các yếu tố bệnh lý dẫn đến hình thành cục máu đông (huyết khối). Cơ chế hình thành huyết khối thường liên quan đến tam chứng Virchow, bao gồm ba yếu tố chính. Thứ nhất là dòng máu chảy chậm, thường gặp ở trẻ ít vận động kéo dài hoặc mắc các bệnh lý nền như tim bẩm sinh, làm cản trở lưu thông máu. Thứ hai là tình trạng tăng đông máu khiến huyết khối dễ hình thành hơn bình thường. Cuối cùng là tổn thương thành mạch do chấn thương hoặc phản ứng viêm, tạo điều kiện cho cục máu đông xuất hiện.
"Có nhiều yếu tố dẫn đến huyết khối mạch máu, song ở trường hợp bệnh nhi này chưa rõ cụ thể yếu tố nào", bác sĩ Tiến phân tích.

Hiện nay, xu hướng điều trị ưu tiên can thiệp nội mạch hơn là dùng thuốc tiêu sợi huyết toàn thân như người lớn. Nếu không can thiệp kịp thời (trong 4,5 đến 6 giờ đầu, tối đa mở rộng đến 24 giờ), trẻ có nguy cơ tử vong hoặc đối mặt di chứng nặng nề (yếu liệt, động kinh, rối loạn nhận thức) với tỷ lệ lên tới 50%. Nguy cơ tái phát cũng chiếm khoảng 15-20% nên trẻ cần được theo dõi lâu dài.
Phụ huynh cần ghi nhớ quy tắc BE FAST để nhận diện sớm đột quỵ ở trẻ. Trong đó, B - Balance (mất thăng bằng, chóng mặt, đi loạng choạng). E - Eyes (nhìn mờ, nhìn đôi, giảm thị lực đột ngột), F - Face (méo miệng, lệch mặt), A-Arm (yếu hoặc liệt tay, chân), S - Speech (nói khó, nói ngọng, nói không rõ), T - Time (gọi cấp cứu ngay lập tức).
Dù vận động thể lực không phải nguyên nhân trực tiếp gây đột quỵ với trường hợp này, bác sĩ Tiến cũng lưu ý việc tập luyện ở trẻ cần đúng cường độ để tránh kiệt sức hoặc sốc nhiệt, nhất là khi nắng nóng. Hoạt động gắng sức nên kéo dài 15-20 phút, không quá 45 phút liên tục và cần có thời gian nghỉ ngơi hợp lý.
Lê Phương