Bé gái mang nhánh cây dài 16 cm trong bụng suốt 4 tháng
Sau cú ngã xuống ao, nhánh cây dài 16 cm xuyên từ hậu môn vào ổ bụng bé gái 3 tuổi nhưng không được phát hiện, âm thầm tồn tại suốt 4 tháng.
Khi té ngã, bé điều trị tại bệnh viện địa phương hai tháng rồi xuất viện. Một tháng sau, bé sốt cao, ho nhiều, được chẩn đoán viêm phổi và điều trị thêm 30 ngày. Quá trình siêu âm, bác sĩ phát hiện khối lạ trong ổ bụng, nghi dị vật, chuyển bé đến Bệnh viện Nhi đồng 2.
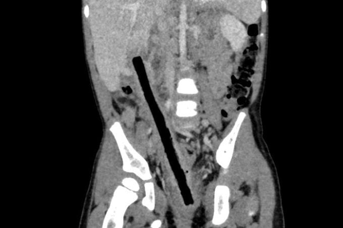
Ngày 30/9, BS.CK1 Nguyễn Hiền, Khoa Ngoại tổng hợp, Bệnh viện Nhi đồng 2, cho biết CT scan cho thấy ổ bụng bệnh nhi có dị vật dài 16 cm nằm từ trực tràng lên tới gan. Nội soi xác định cành cây đã xuyên qua trực tràng, ruột non và tá tràng, gây viêm dính nhiều vị trí, khiến phẫu thuật trở nên phức tạp.
Êkíp tiến hành mổ mở, bóc tách theo đường đi của dị vật, giải phóng các đoạn ruột dính, đồng thời bảo tồn mạch máu, thần kinh và niệu quản. Sau 4 giờ phẫu thuật, các bác sĩ lấy ra nguyên vẹn cành cây dài 16 cm, xử lý cầm máu, khâu vết thương và làm hậu môn tạm.

"May mắn dị vật không đâm vào các mạch máu lớn nên không ảnh hưởng đến tính mạng", bác sĩ nói.
Hiện sức khỏe bệnh nhi ổn định, dự kiến xuất viện sau một tuần. Do bị viêm phổi hít nên bé được điều trị bằng kháng sinh phổ rộng, đồng thời giúp hạn chế nhiễm trùng do dị vật gây ra. Khoảng một tháng sau, bé sẽ tái khám để đóng hậu môn tạm và có thể sinh hoạt bình thường, không để lại di chứng.
Theo bác sĩ Hiền, dị vật đâm xuyên hậu môn từng được ghi nhận ở trẻ khi vui chơi, tắm ở ao hồ, sông suối. Trường hợp này hy hữu bởi dị vật dài, tồn tại trong ổ bụng nhiều tháng. Nếu để lâu, dị vật có thể xuyên vào cơ quan khác, gây nhiễm trùng nặng, thậm chí suy đa cơ quan, đe dọa tính mạng.

Phụ huynh cần giám sát khi trẻ vui chơi, nhất là trong mùa mưa bão, cây cối dễ gãy đổ gây những tai nạn đáng tiếc. Không cho trẻ đến gần hoặc vui chơi tại khu vực ao hồ sông suối khi không có người lớn giám sát. Không đi qua cầu hoặc đường ngập nước. Khi xảy ra các tai nạn sinh hoạt, cần đưa trẻ đến cơ sở y tế gần nhất để được thăm khám và điều trị kịp thời.
Lê Phương