Tin tức 24h
Kinh tế
Văn hóa
Giải trí
Đời sống
Du lịch
Beauty & Fashion
Doctor 247
bệnh ung thư
Cập nhập tin tức bệnh ung thư
Những trường hợp nào được hưởng bảo hiểm hưu trí bổ sung từ ngày 10/5/2026?
Bạn đọc hỏi: Những trường hợp nào được hưởng bảo hiểm hưu trí bổ sung từ ngày 10/5/2026?
Tin tức 24h
7 thay đổi trên cơ thể âm thầm cảnh báo ung thư
Mệt mỏi kéo dài, sụt cân không rõ nguyên nhân, ho dai dẳng, đau âm ỉ bất thường có thể là dấu hiệu ung thư sớm mà nhiều người dễ bỏ qua.
Mang di ảnh vợ cùng chạy bộ 2.200 km
Thay vì gục ngã khi vợ qua đời vì bạo bệnh, ông Lim Shyang Guey, 66 tuổi, mang theo di ảnh bà, chạy 2.200 km để hoàn thành chuyến đi dang dở của hai người.
Người đàn ông 63 tuổi sốc nặng khi phát hiện mắc hai bệnh ung thư cùng lúc
39 thuốc sinh học sắp hết độc quyền, mở cơ hội giảm chi phí trị ung thư
Uống nước đun sôi nhiều lần có gây ung thư?
5 loại ung thư di truyền thường gặp
Người bệnh ung thư đang điều trị có nên phun xăm thẩm mỹ?
19/02/2026 09:00
Tôi mắc ung thư vú, đã phẫu thuật điều trị, đang chờ hóa trị. Tôi có thể phun xăm thẩm mỹ không? (Ngọc Dung, 35 tuổi)
Người bệnh ung thư nên làm gì để ăn Tết vui khỏe?
18/02/2026 12:00
Tôi đang hóa trị ung thư vú, qua Tết sẽ tiếp tục liệu trình, cần chuẩn bị gì để đủ sức khỏe đón Tết? (Ngọc Hoài, TP HCM)
4 nhóm thực phẩm người bệnh ung thư nên hạn chế
17/02/2026 09:00
Hạn chế các món ăn làm từ nếp, thực phẩm chế biến sẵn, đồ muối chua, lên men, nhiều đường, góp phần hỗ trợ tiêu hóa, giảm viêm.
Chăm sóc giảm nhẹ người bệnh ung thư dịp Tết thế nào
16/02/2026 12:00
Người bệnh ung thư và gia đình cần chuẩn bị thực đơn đảm bảo dinh dưỡng cho ngày Tết, chuẩn bị thuốc, địa chỉ cấp cứu trong tình huống khẩn cấp.
Người bệnh ung thư có được ăn mứt gừng không?
15/02/2026 11:00
Tôi rất thích ăn mứt gừng ngày Tết. Người bệnh ung thư đang hóa trị như tôi có được ăn món này không? (Quý Hiên, 34 tuổi)
Khói nhang ảnh hưởng đến người bệnh ung thư thế nào
14/02/2026 08:00
Khói nhang chứa CO, bụi mịn và nhiều khí độc, có thể gây hại sức khỏe nếu tiếp xúc nhiều, nhất là với người bệnh ung thư có hệ miễn dịch suy giảm.
Người bệnh ung thư có nên tạm ngưng uống thuốc ngày Tết?
13/02/2026 08:00
Tôi đang điều trị ung thư, phải uống một số thuốc nhưng hay mệt mỏi, buồn nôn. Tôi có thể ngưng thuốc vài ngày Tết không? (Mạnh Long, tỉnh Đồng Nai)
Bệnh ung thư gan điều trị bằng thuốc miễn dịch được không?
09/02/2026 08:00
Bố tôi mắc ung thư gan giai đoạn ba, có thể điều trị bằng thuốc miễn dịch được không? (Hùng Hà, 38 tuổi)
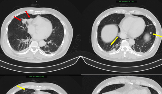
Ăn cơm có cảm giác nuốt vướng, người đàn ông sốc khi phát hiện 3 bệnh ung thư cùng lúc
03/02/2026 11:30
Thường xuyên gặp tình trạng nuốt vướng, nghẹn, nôn sau ăn và đau bụng vùng thượng vị, người đàn ông 50 tuổi đi khám phát hiện ung thư nguyên phát cùng lúc tại 3 vị trí hạ họng, thực quản và dạ dày.
Tết trồng cây lan tỏa không gian xanh, tiếp sức tinh thần người bệnh ung thư
29/01/2026 11:59
Sáng 29/1, Bệnh viện Ung Bướu Đà Nẵng tổ chức lễ phát động phong trào “Tết trồng cây đời đời nhớ ơn Bác Hồ” nhân dịp Xuân Bính Ngọ 2026, gắn với các hoạt động chăm sóc đời sống tinh thần cho người bệnh ung thư đang...
Bác sĩ chỉ ra 5 dấu hiệu cảnh báo ung thư phổi dễ bị phớt lờ
25/01/2026 11:00
Ung thư phổi có thể phát hiện sớm qua 5 dấu hiệu: ho kéo dài, khó thở, đau ngực hoặc lưng, khàn tiếng và sụt cân đột ngột.
Cô gái ung thư xương bị gia đình bỏ rơi, tự ký giấy phẫu thuật
24/01/2026 13:00
Phát hiện ung thư xương ngay ngưỡng cửa đại học và bị gia đình bỏ rơi, Hạ Thế Vĩ một mình trải qua 6 lần phẫu thuật, tự lao động để trang trải viện phí.
Cha mẹ nghèo nỗ lực cứu con trai 3 tuổi đang vật lộn với bệnh ung thư
21/01/2026 05:30
Sau gần 2 năm vật lộn với bệnh ung thư tinh hoàn, bé Sơn đã có chuyển biến tích cực. Tuy nhiên, vì mẹ bé vừa mới phẫu thuật ung thư tuyến giáp nên gia đình không còn khả năng để tiếp tục chạy chữa.
Bạn đọc Dân trí giúp vợ chồng nghèo vượt nghịch cảnh
18/01/2026 14:02
Sự giúp đỡ của bạn đọc báo giúp gia đình tôi có thêm động lực vượt qua nghịch cảnh. Từ sâu trong tim, tôi biết ơn độc giả của báo rất nhiều”, anh Hùng bộc bạch.
Trao 120 triệu đồng đến người đàn ông mắc bệnh ung thư hiếm
06/01/2026 23:10
Theo bác sĩ Nguyễn Viết Bình, sự giúp đỡ của độc giả báo không chỉ giúp anh Nam có điều kiện điều trị tốt hơn mà còn là liệu pháp tinh thần, động viên bệnh nhân yên tâm chữa bệnh.
Xem thêm
Đọc nhiều
POWERED BY
ONE
CMS
- A PRODUCT OF
NEKO