Bụng bé gái sưng to bất thường, bác sĩ phát hiện ra "bí mật" đáng sợ
Các bác sĩ đã sốc nặng khi họ phát hiện ra một em bé đang phát triển bên trong bụng bé gái 11 ngày tuổi ở Ai Cập.
Bé gái này đã phải nhập viện khi mới 11 ngày tuổi vì bụng bị căng phồng.
Siêu âm 4D phát hiện khối u có kích thước 8x6cm, trong khi khám bụng phát hiện khối u có "độ đặc từ mềm đến cứng" và "bề mặt không đều", không di chuyển khi cô bé thở.
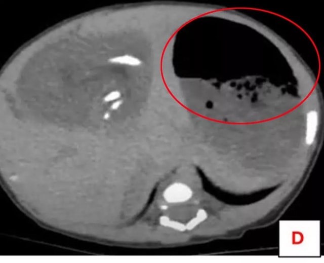
Chụp cắt lớp vi tính có cản quang ở dạ dày và xương chậu một lần nữa làm nổi bật khối u, lần này cho thấy các bộ phận xương bị biến dạng giống như xương dài, xương sườn, đốt sống, xương chậu và mô mềm.
Các bác sĩ có thể thấy thai nhi được nuôi dưỡng bởi một động mạch lớn và họ xác nhận phát hiện này là trường hợp thai trong thai – một dị tật cực kỳ hiếm gặp xảy ra khi một thai đôi ký sinh dị dạng phát triển bên trong cơ thể của anh chị em.

Theo NeedToKnow, các bác sĩ phẫu thuật đã thực hiện một ca mở bụng – rạch một đường vào khoang bụng và tìm thấy khối u gần gan.
Họ đã loại bỏ khối u, được bao bọc trong một túi chứa chất béo, mô dị dạng, hai chi và một dây rốn. Kiểm tra dưới kính hiển vi cho thấy khối u có "mô phôi trưởng thành" cùng với da và ruột.
Thật khó tin, trước khi phát hiện ra sự việc gây sốc này, bé gái vẫn ăn uống và đi ngoài bình thường, không có triệu chứng nào khác. Ống dẫn lưu ổ bụng đã được rút ra sau bốn ngày bé nằm viện, và bé đã được xuất viện sau khi hồi phục.
Trường hợp này đã được báo cáo trên một tạp chí y khoa vào tháng này, khi đứa trẻ được điều trị tại khoa nhi của Đại học Mansoura ở Ai Cập.
Phương Linh(T/h)