Cụ bà ung thư niêm mạc má nghi do thói quen ăn trầu
Khối u ung thư niêm mạc lan từ gò má trái xuống cằm, ăn mòn xương, che lấp ổ miệng khiến mặt bà Tình biến dạng, bác sĩ nghi do thói quen ăn trầu.
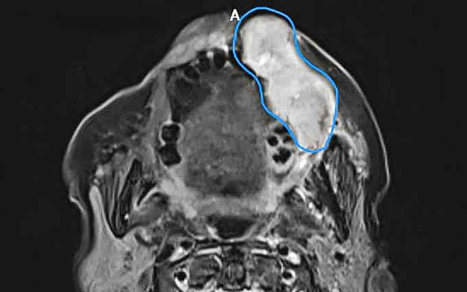
Bà Tình, 80 tuổi, xuất hiện khối u 6 tháng trước rồi tăng dần kích thước khiến mặt bên trái sưng căng đẩy vùng má, môi lồi lõm, lệch hẳn ra ngoài, phía trong miệng lở, rỉ dịch. U lớn nhanh gây đau khiến bà không nói rõ, không thể ăn uống, sụt 5 kg. Kết quả sinh thiết tại Bệnh viện Đa khoa Tâm Anh TP HCM cho thấy khối u dài 7 cm dày 4 cm là ung thư niêm mạc má giai đoạn ba.
"Bà Tình nhai trầu rất nhiều năm, có thể là một trong những yếu tố nguy cơ gây ung thư ổ miệng", BS.CKI Nguyễn Huy Lộc, khoa Xạ trị, Trung tâm Ung bướu, nói. Loại ung thư này thường gặp ở người cao tuổi và có xu hướng tiến triển nhanh.

Bác sĩ chỉ định phẫu thuật cắt bỏ toàn bộ khối u, cắt rộng xung quanh, nạo hạch cổ để đảm bảo lấy hết tế bào ung thư, ngăn di căn, tái phát. Để tránh tình trạng khuyết lõm vùng má sau phẫu thuật, ảnh hưởng đến chức năng nhai, nói, thẩm mỹ, bác sĩ chỉ định tái tạo, phục hồi chức năng bằng cách lấy vạt da tự thân ghép lên vùng khuyết. Do người bệnh tuổi cao, nhiều bệnh nền, người nhà chọn xạ trị thay vì phẫu thuật.
Xạ trị là phương pháp không xâm lấn, người bệnh không cần nằm viện suốt quá trình điều trị, tránh được các nguy cơ biến chứng của phẫu thuật cần gây mê, khả năng phục hồi tốt hơn. Bác sĩ Lộc xây dựng phác đồ xạ trị cho bà Tình gồm 33 lần xạ, tập trung vào khối u niêm mạc má, hạch cổ hai bên dự phòng ung thư di căn, tái phát.

Khối u nằm sát da, lồi ra ngoài gây biến dạng khuôn mặt. Do đó, ngoài việc làm mặt nạ cố định có hình dáng đặc biệt ôm theo khối u, bác sĩ còn thiết kế thêm miếng bù liều để đạt hiệu quả chiếu tia tối ưu nhất. Tia xạ mạnh và phát huy tác dụng tốt nhất khi chiếu vào vị trí u dưới bề mặt da khoảng 2-3 cm. Tuy nhiên, ở bệnh nhân này, khối u lan ra vùng môi, miếng bù liều dày khoảng 1 cm làm bằng nhựa cứng, có vai trò như một lớp mô bao phủ phía trên u, giúp tia xạ chiếu trúng đích, giảm tổn thương mô lành dưới u.
Sau 5 lần xạ, người bệnh đáp ứng tốt, khối u giảm kích thước rõ rệt, giảm đau, ăn nhai, nói chuyện dễ dàng hơn. Vùng u lồi ở miệng biến mất, hình dạng khuôn mặt gần như bình thường. Trước những lần xạ tiếp theo, người bệnh được làm lại mặt nạ cố định, miếng bù liều cho ôm sát vùng điều trị.
Ung thư ổ miệng thường gặp ở những người sau 50 tuổi thường xuyên hút thuốc lá, uống rượu bia, nhai trầu cau, vệ sinh răng miệng kém, bị viêm loét mạn tính nhưng không điều trị dứt điểm... Bệnh thường phát hiện ở giai đoạn muộn (3 hoặc 4) do các triệu chứng ban đầu không rõ ràng, dễ nhầm với nhiệt miệng, viêm nhiễm thông thường.
Bác sĩ Lộc cho hay điều trị ung thư giai đoạn muộn tiên lượng xấu hơn so với giai đoạn sớm, cả về khả năng điều trị lẫn chất lượng sống. Ngay khi phát hiện dấu hiệu bất thường như sưng đau vùng miệng, người bệnh cần đi khám ngay. Mỗi người cần khám răng miệng định kỳ 6-12 tháng một lần để kịp thời phát hiện bất thường, điều trị (nếu có).
Nhật Minh
*Tên người bệnh đã được thay đổi
| Độc giả đặt câu hỏi về bệnh ung thư tại đây để bác sĩ giải đáp |