Tin tức 24h
Kinh tế
Văn hóa
Giải trí
Đời sống
Du lịch
Beauty & Fashion
Doctor 247
đau bụng
Cập nhập tin tức đau bụng
Đau bụng tưởng nhẹ, người phụ nữ sốc nặng khi bác sĩ lấy ra thứ “đáng sợ” trong bụng
Người phụ nữ 67 tuổi ở Bắc Ninh xuất hiện cảm giác đau tức bụng trong nhiều ngày nên đã đến bệnh viện thăm khám. Bác sĩ phát điều bất thường trong bụng bà, ước tính nặng gần 1 kg.
Đời sống
Đau bụng đi khám, người đàn ông sốc nặng khi thấy thứ bên trong
Một người đàn ông đi khám bệnh vì đau bụng đã vô cùng kinh ngạc khi phát hiện một chiếc nhiệt kế thủy ngân nằm trong ruột của mình.
Đau bụng tưởng nhẹ, người phụ nữ sốc nặng khi bác sĩ lấy ra thứ “rợn người” trong cơ thể
Người phụ nữ 33 tuổi xuất hiện cảm giác đau tức bụng trong nhiều ngày nên đã đến bệnh viện thăm khám. Bác sĩ phát điều bất thường trong bụng cô.
Người bệnh viêm loét đại tràng nên ăn rau thế nào
Vì sao lo lắng, căng thẳng gây tiêu chảy?
Đau bụng dữ dội nhiều ngày, người đàn ông suýt trả giá đắt, bác sĩ cảnh báo thói quen nhiều người mắc phải
Người đàn ông đau bụng 36 tiếng, bác sĩ phát hiện "bí mật" bên trong
Tưởng đau bụng thông thường, hóa ung thư gan giai đoạn cuối
18/03/2026 08:34
Người đàn ông 55 tuổi đến viện khám do đau tức vùng hạ sườn phải suốt một tháng, chán ăn, bác sĩ chẩn đoán ung thư gan giai đoạn cuối.
Cô gái đau bụng dữ dội, bác sĩ phát hiện ra bí mật bên trong
18/03/2026 02:00
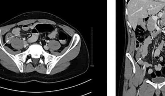
Các bác sĩ đã phát hiện ra khối u quái dài 12 cm trong bụng cô gái 18 tuổi, bên trong còn chứa 24 chiếc răng với nhiều hình dạng khác nhau.
Thiếu niên 15 tuổi bị đau bụng thúc ngược lên, bác sĩ phát hiện "bí mật" đáng sợ bên trong
12/03/2026 02:00
Bệnh nhân 15 tuổi nhập viện vì sốt và đau bụng dữ dội, các bác sĩ đã phẫu thuật cấp cứu thành công, cảnh báo về nguy cơ biến chứng nguy hiểm của ký sinh trùng.
Nam thanh niên 15 tuổi nhập viện vì đau bụng dữ dội, bác sĩ sốc khi phát hiện thứ “đáng sợ” bên trong
11/03/2026 02:00
Một thiếu niên 15 tuổi phải nhập viện cấp cứu trong tình trạng đau dữ dội sau hành động bồng bột do tò mò. Thăm khám cho thấy có dị vật mắc kẹt trong cơ thể.
Tự uống thuốc đau bụng, người đàn ông bị thủng dạ dày, ngưng tim trên bàn mổ
10/03/2026 20:28
Người đàn ông 61 tuổi bị đau bụng nhiều ngày nhưng không đến bệnh viện, tự uống thuốc giảm đau tại nhà, bệnh nhân đã phải nhập viện trong tình trạng thủng dạ dày, nhiễm trùng nặng và ngưng tim ngay trên bàn mổ.
Bác sĩ cảnh báo nguyên nhân gây ngộ độc thực phẩm mùa nắng nóng
07/03/2026 13:01
Thời gian gần đây, nhiều vụ nghi ngộ độc thực phẩm sau khi ăn bánh mì liên tiếp xảy ra tại khu vực phía Nam, khiến hàng trăm người phải nhập viện thăm khám và điều trị. Các bác sĩ cảnh báo thời tiết nắng nóng tạo...
Người đàn ông đau bụng suốt 1 tuần, bác sĩ kiểm tra thì sốc nặng
03/03/2026 13:00
Sau gần một giờ phẫu thuật, các bác sĩ đã lấy thành công cả hai chiếc thìa ra khỏi bụng người đàn ông.
Phát hiện mắc 2 loại ung thư từ dấu hiệu đau bụng, vàng da
03/03/2026 12:00
Người đàn ông 64 tuổi đau bụng âm ỉ kèm vàng da, đi khám bác sĩ phát hiện mắc đồng thời hai bệnh lý ung thư bàng quang và ung thư ống mật chủ.
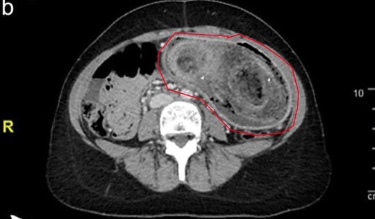
Người phụ nữ 66 tuổi đau bụng kéo dài, bác sĩ gắp ra thứ "đáng sợ"
01/03/2026 01:00
Đau bụng kéo dài, người phụ nữ 66 tuổi đến viện khám, bác sĩ phẫu thuật thành công 2 khối u quái hiếm, một khối u chứa búi tóc bên trong.
Ba cách giảm tiêu chảy cấp tại nhà
28/02/2026 15:00
Bù nước và chất điện giải, hạn chế thức ăn nhiều dầu mỡ, ưu tiên món ấm và loãng dễ tiêu để ổn định tiêu hóa, giảm tiêu chảy cấp.
Cô gái 26 tuổi đau bụng dữ dội, bác sĩ “chết lặng” khi phát hiện thứ bên trong
27/02/2026 19:30
Đi ăn cỗ cưới về về cô gái 26 tuổi bất ngờ xuất hiện tình trạng đau bụng dữ dội, cơn đau tăng dần kèm buồn nôn. Bác sĩ ngạc nhiên khi phát hiện "bí mật" bên trong bụng.
Dấu hiệu cảnh báo ung thư manh tràng
27/02/2026 16:00
Ung thư manh tràng phát triển âm thầm ở đoạn đầu đại tràng, thường gây triệu chứng đau bụng, thiếu máu, sụt cân ở giai đoạn muộn.
10 thực phẩm tốt cho tiêu hóa nên ăn mỗi ngày
24/02/2026 09:00
Ưu tiên khoai lang, sữa chua và chuối chín trong thực đơn giúp tăng cường chất xơ, lợi khuẩn, hỗ trợ đường ruột hoạt động ổn định.
Buồng trứng của thiếu nữ bị xoắn ba vòng
23/02/2026 17:00
Hiền, 16 tuổi, đau bụng dữ dội do buồng trứng bên phải xoắn ba vòng, được bác sĩ phẫu thuật nội soi cắt nang, bảo tồn buồng trứng.
Rối loạn tiêu hóa dịp Tết có cần đến viện khám không?
22/02/2026 14:00
Sau Tết, tôi bị đầy hơi, ăn uống khó tiêu, thỉnh thoảng đau bụng âm ỉ, táo bón. Triệu chứng này của bệnh gì, khi nào tôi cần đi khám? (Mai, Lâm Đồng)
Xem thêm
Đọc nhiều
POWERED BY
ONE
CMS
- A PRODUCT OF
NEKO