Dấu hiệu âm thầm tưởng vô hại nhưng có thể là ung thư phổi
Những biểu hiện tưởng chừng đơn giản như ho kéo dài, đau tức ngực hay sụt cân bất thường đôi khi lại ẩn chứa nguy cơ ung thư phổi, căn bệnh nguy hiểm thường được phát hiện muộn.
Bệnh viện Đa khoa MEDLATEC cho biết vừa tiếp nhận một trường hợp bệnh nhân nữ 53 tuổi nhập viện vì những cơn đau nhói vùng ngực trái kéo dài, tưởng chừng chỉ là dấu hiệu thông thường nhưng lại là lời cảnh báo về căn bệnh ung thư phổi.
Trong khoảng một tháng, bà P.T.H (Hà Nội) thường xuyên cảm thấy đau nhói tại một điểm ở ngực trái. Sau khi chủ động đi khám, các kết quả xét nghiệm máu, siêu âm tim, siêu âm vú, điện tim đều không phát hiện bất thường.
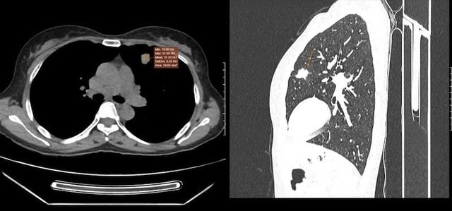
Tuy nhiên, hình ảnh chụp cắt lớp vi tính (CT) lồng ngực có tiêm thuốc cản quang lại cho thấy nốt đặc kích thước 21x14mm với bờ tua gai tại thùy trên phổi trái, đồng thời phát hiện thêm nốt giảm tỷ trọng tại tuyến thượng thận.
Để xác định bản chất tổn thương, các bác sĩ tiến hành sinh thiết xuyên thành ngực dưới hướng dẫn của CT, mẫu bệnh phẩm gửi đến Trung tâm Giải phẫu bệnh MEDLATEC cho kết quả ung thư biểu mô tuyến.
Tiếp đó, bệnh nhân được làm thêm xét nghiệm nhuộm hóa mô miễn dịch và giải trình tự gen, kết quả ghi nhận PD-L1 dương tính, yếu tố quan trọng để đánh giá đáp ứng điều trị miễn dịch đồng thời mang đột biến EGFR, một dạng thường gặp ở bệnh nhân ung thư phổi không tế bào nhỏ, giúp bác sĩ có cơ sở xây dựng phác đồ điều trị đích.

Từ đây, bệnh nhân được khuyến nghị chuyển sang cơ sở chuyên khoa ung bướu để tiếp tục điều trị chuyên sâu.
Ung thư phổi từ lâu đã được coi là "sát thủ thầm lặng" với tỷ lệ tử vong cao hàng đầu thế giới. Theo thống kê GLOBOCAN 2022, Việt Nam mỗi năm ghi nhận hơn 24.400 ca mắc mới và trên 22.500 trường hợp tử vong do căn bệnh này, tỷ lệ sống sau 5 năm chỉ đạt 14,8%.
Căn bệnh đứng thứ ba về tỷ lệ mắc mới và thứ hai về tỷ lệ tử vong trong số các loại ung thư. Điều đáng lo ngại, ung thư phổi không còn là "bệnh của nam giới hút thuốc" như suy nghĩ lâu nay, mà đang có xu hướng gia tăng rõ rệt ở phụ nữ, kể cả những người chưa từng hút thuốc.
Bác sĩ Nguyễn Văn Tuấn - Trung tâm Giải phẫu bệnh MEDLATEC cho biết, hút thuốc và hút thuốc thụ động vẫn là nguyên nhân chính, song ô nhiễm môi trường, yếu tố di truyền, tiền sử gia đình cũng góp phần làm tăng nguy cơ mắc bệnh.
Đặc biệt, các nghiên cứu cho thấy tỷ lệ mang đột biến EGFR, ALK ở nữ giới cao hơn nam giới, điều này không chỉ ảnh hưởng đến cơ chế bệnh sinh mà còn quyết định hướng điều trị.
"Nguy hiểm ở chỗ ung thư phổi thường tiến triển âm thầm, khi triệu chứng rõ ràng thì bệnh đã ở giai đoạn muộn. Những biểu hiện cảnh báo gồm đau tức ngực, ho kéo dài, ho ra máu, khó thở, sụt cân bất thường, mệt mỏi kéo dài.
Ở nữ giới, do không nằm trong nhóm nguy cơ điển hình, các dấu hiệu này thường bị bỏ qua hoặc nhầm lẫn với bệnh lý khác, dẫn tới chẩn đoán muộn và giảm cơ hội điều trị", BS Tuấn nói.
Bác sĩ khuyến cáo, để phòng ngừa và phát hiện sớm, người dân cần tránh xa khói thuốc, hạn chế tiếp xúc với môi trường ô nhiễm, duy trì lối sống lành mạnh và khám sức khỏe định kỳ. Với nhóm nguy cơ cao, việc tầm soát bằng chụp CT liều thấp là cần thiết.
Trong quá trình chẩn đoán, xét nghiệm nhuộm hóa mô miễn dịch và phân tích đột biến gen như EGFR, ALK hay chỉ số PD-L1 ngày càng đóng vai trò quan trọng, không chỉ giúp khẳng định loại ung thư mà còn mở ra hướng điều trị cá thể hóa, nâng cao cơ hội kéo dài sự sống cho người bệnh.