Đột quỵ giả do bệnh di truyền
Chị Thu, 45 tuổi, đột ngột lú lẫn, co giật, tê yếu nửa người tưởng đột quỵ, bác sĩ chẩn đoán mắc bệnh ty thể di truyền ít gặp.
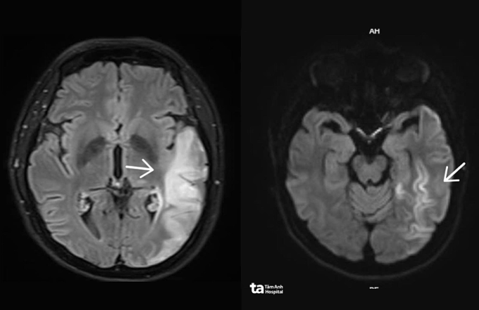
BS.CKI Đặng Khắc Giáp, Trung tâm Khoa học Thần kinh, Bệnh viện Đa khoa Tâm Anh TP HCM, cho biết hình ảnh MRI 3 Tesla của chị Thu có tổn thương não lan rộng bất thường song không phù hợp với các đặc điểm điển hình của đột quỵ do tắc mạch hay viêm não. Người bệnh thể trạng nhỏ, gầy, đái tháo đường khởi phát từ khi còn trẻ - dấu hiệu rối loạn chuyển hóa năng lượng. Kết quả xét nghiệm chuyển hóa chuyên sâu cho thấy bất thường rõ rệt trong quá trình oxy hóa năng lượng tại não, nghi ngờ bệnh lý ty thể.
Xét nghiệm di truyền phân tích DNA ty thể ghi nhận chị Thu mang đột biến điển hình trên gene MT-TL1, thuộc nhóm hội chứng Melas. Bác sĩ Giáp giải thích đây là dạng rối loạn ty thể, di truyền theo dòng mẹ, tỷ lệ mắc ước tính 0,2/100.000 dân. Ty thể được ví như "nhà máy năng lượng" của tế bào, quan trọng với tế bào thần kinh, cơ tim và cơ vân. Khi gene ty thể bị đột biến, quá trình tạo ATP - nguồn năng lượng cho tế bào suy giảm, khiến tế bào não thiếu năng lượng, dễ tổn thương, thoái hóa và chết theo thời gian.

Triệu chứng có thể gồm đau đầu kéo dài, động kinh, lú lẫn, suy giảm trí nhớ, yếu liệt, đái tháo đường sớm, yếu cơ mạn tính. Đặc trưng nhất là các cơn "giả đột quỵ" nhưng không do tắc hay vỡ mạch máu não mà do tế bào thần kinh bị tổn thương vì thiếu năng lượng, dễ bị chẩn đoán nhầm với đột quỵ, viêm não hoặc động kinh vô căn.
Sau hội chẩn, các bác sĩ điều trị kiểm soát cơn co giật cho người bệnh bằng thuốc chống động kinh kết hợp các biện pháp hỗ trợ chuyển hóa nhằm cải thiện quá trình tạo năng lượng cho tế bào thần kinh. Sau khoảng 9 ngày điều trị, tình trạng lú lẫn giảm, sức cơ hai bên cải thiện dần, chị giao tiếp tốt hơn và có thể tự đi lại. Chị Thu xuất viện và tiếp tục điều trị ngoại trú, theo dõi nhằm hạn chế tái phát các cơn "giả đột quỵ", phòng ngừa biến chứng thần kinh, rối loạn đa cơ quan do bệnh ty thể.
Theo bác sĩ Giáp, nếu phát hiện muộn và không được điều trị, bệnh Melas có thể làm tổn thương não lan rộng và không hồi phục. Các cơn "giả đột quỵ" có xu hướng tái diễn, dẫn đến suy giảm nhận thức, rối loạn ngôn ngữ, giảm thị lực hoặc yếu liệt kéo dài. Người bệnh cũng có nguy cơ động kinh khó kiểm soát, tổn thương đa cơ quan, rối loạn chuyển hóa nặng. Một số trường hợp bị toan lactic, tức axit lactic tích tụ trong máu, gây rối loạn pH, hoặc suy đa cơ quan.

Hiện, y học chưa có phương pháp điều trị khỏi hoàn toàn bệnh ty thể. Người bệnh chủ yếu được điều trị kiểm soát bệnh, dự phòng biến chứng. Bệnh được chẩn đoán sớm và theo dõi thông qua kết hợp lâm sàng, chụp MRI 3 Tesla, MRI phổ, xét nghiệm chuyển hóa, phân tích gene.
Melas thường khởi phát ở trẻ em, thanh thiếu niên, người trưởng thành trẻ tuổi hoặc số ít trường hợp biểu hiện muộn ở tuổi trung niên. Đột biến gây Melas nằm trong DNA ty thể và được di truyền theo dòng mẹ. Con sinh ra có nguy cơ mang bệnh nếu người mẹ mang gene bệnh, kể cả khi không có biểu hiện lâm sàng rõ ràng. Một số trường hợp không có tiền sử gia đình có thể do đột biến tự phát, nhưng vẫn theo cơ chế di truyền dòng mẹ cho thế hệ sau. Do đó, các bác sĩ khuyến cáo người thân ruột thịt, đặc biệt là con cái và các thành viên bên ngoại, nên được tư vấn di truyền và theo dõi khi có dấu hiệu nghi ngờ.
Bác sĩ Giáp lưu ý người trẻ hoặc trung niên xuất hiện đau đầu kéo dài, co giật, lú lẫn, liệt nửa người tái diễn, kèm các biểu hiện chuyển hóa bất thường như đái tháo đường sớm, thể trạng nhỏ con, yếu cơ, cần được thăm dò chuyên sâu tại bệnh viện có chuyên khoa thần kinh để phát hiện sớm bệnh lý ty thể, tránh chẩn đoán nhầm và bỏ lỡ cơ hội điều trị phù hợp.
Trọng Nghĩa
*Tên người bệnh đã được thay đổi
| Độc giả gửi câu hỏi về bệnh thần kinh tại đây để bác sĩ giải đáp |