Đột quỵ nhưng nhầm tưởng say rượu
Sau bữa tiệc, ông Trung, 63 tuổi, chóng mặt, buồn nôn, ngã xuống nền tưởng do say rượu, 5 giờ sau đến bệnh viện được bác sĩ xác định đột quỵ nhồi máu não.
Ban đầu do tưởng say rượu nên ông Trung được đưa vào phòng nghỉ, đến khi ông không nói được, liệt người mới đến Bệnh viện Đa khoa Tâm Anh TP HCM. BS.CKI Trần Mai Hạnh Tiên, Khoa Thần kinh, Trung tâm Khoa học Thần kinh, cho biết ông Trung nhập viện trong tình trạng mất ngôn ngữ hoàn toàn, liệt nửa người phải và ý thức giảm sâu, nguy cơ hôn mê. Bệnh nhân được đánh giá điểm NIHSS 25 - mức tổn thương thần kinh rất nặng. NIHSS là thang điểm dùng để xác định mức độ nặng và tiên lượng lâm sàng ở người đột quỵ cấp; điểm càng cao, tình trạng càng nghiêm trọng.
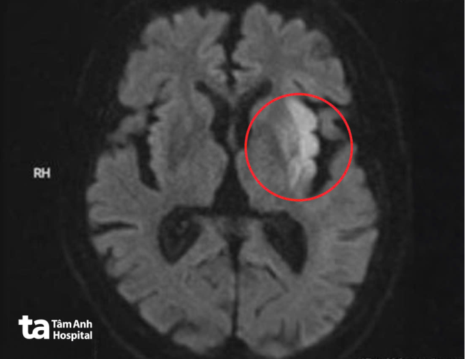
Bệnh viện kích hoạt quy trình "Code Stroke" tạo lối riêng cấp cứu đột quỵ. Kết quả chụp MRI 3 Tesla não của ông Trung cho thấy ổ nhồi máu cấp tại vùng nhân bèo, thùy trán và thùy đảo trái, kèm hình ảnh mất tín hiệu đoạn M1 động mạch não giữa trái, xác định tắc nghẽn mạch hoàn toàn.

"Do nhầm với say rượu nên bệnh nhân được cấp cứu trễ, làm lỡ thời gian vàng điều trị, vùng não tổn thương lan rộng", bác sĩ Hạnh Tiên nói, thêm rằng thời gian vàng xử trí trong vòng 4 giờ kể từ khi khởi phát.
Đột quỵ do tắc động mạch não (nhồi máu não) xảy ra khi một mạch máu nuôi não bị tắc nghẽn bởi cục huyết khối, mảng xơ vữa hoặc các vật gây thuyên tắc. Tế bào não bắt đầu chết nhanh, ông Trung đã rối loạn chức năng như yếu liệt, nói khó, rối loạn ý thức, nguy cơ cao tàn phế, tử vong.
Sau hội chẩn nhanh, ông Trung được can thiệp nội mạch lấy huyết khối. Bác sĩ mở đường vào mạch máu tại vùng bẹn, luồn một ống thông siêu nhỏ và dụng cụ chuyên dụng theo lòng mạch lên tới vị trí tắc nghẽn trong não, hút trọn khối huyết ra ngoài. Toàn bộ quy trình chưa đến 20 phút. Bác sĩ Tiên cho biết nhờ can thiệp kịp thời, vùng não bị ngăn cản lưu thông máu được hồi phục tuần hoàn nhanh hơn, giảm mức độ tổn thương thần kinh và tăng cơ hội phục hồi chức năng về ngôn ngữ, vận động cho người bệnh.
Sau can thiệp, ông Trung tỉnh, nói rõ tiếng, trả lời chính xác. Hai ngày sau, sức cơ tay chân phục hồi gần như hoàn toàn, chỉ còn mờ nhẹ nếp mũi má phải, điểm NIHSS giảm còn một điểm. Ông đang tiếp tục phục hồi chức năng và được theo dõi chặt các yếu tố nguy cơ tái phát.

Chóng mặt, buồn nôn, mất thăng bằng và ngã như ông Trung là những dấu hiệu khởi phát thường gặp của đột quỵ thiếu máu não cấp. Khi lưu lượng máu lên não giảm đột ngột, người bệnh sẽ xuất hiện choáng váng, nói khó, tê yếu tay chân, nhìn mờ hoặc không kiểm soát vận động cơ thể, dễ ngã.
Cảm giác say rượu và đột quỵ dễ bị nhầm lẫn, nhất là trong các trường hợp tổn thương tiểu não - vùng não điều khiển vận động tinh tế, giữ thăng bằng và phối hợp cử động. Nhiều người bệnh vào viện muộn vì nghĩ họ say xỉn, ngủ dậy sẽ hết. Bác sĩ lưu ý khi đột ngột nói khó, chóng mặt dữ dội, yếu liệt tay chân đi không vững dù có uống rượu trước đó hay không, người bệnh nên đến cơ sở y tế để được kiểm tra, chẩn đoán nguyên nhân.
Để phòng ngừa đột quỵ do tắc động mạch não, mỗi người cần kiểm soát tốt các yếu tố nguy cơ như tăng huyết áp, đái tháo đường, rối loạn mỡ máu, béo phì, không hút thuốc hay uống rượu bia. Duy trì lối sống khoa học với chế độ ăn giảm muối, đường, chất béo bão hòa, tăng rau xanh và cá; tập thể dục ít nhất 150 phút mỗi tuần, ngủ đủ giấc, tránh căng thẳng kéo dài. Người trên 40 tuổi, đặc biệt có bệnh nền tim mạch, đái tháo đường, từng cơn thiếu máu não thoáng qua (TIA), hoặc gia đình có người từng đột quỵ, nên tầm soát nguy cơ đột quỵ định kỳ 6-12 tháng một lần.
Trọng Nghĩa
*Tên người bệnh đã được thay đổi