Khớp háng thiếu niên 'mọc' thêm xương bất thường
Phát, 14 tuổi, đột ngột đau cứng khớp háng, bác sĩ phát hiện mắc hội chứng cấn khớp háng khiến mô xương "mọc" thêm bất thường.
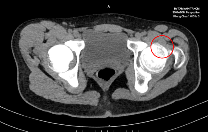
Kết quả siêu âm và chụp CT tại Bệnh viện Đa khoa Tâm Anh TP HCM ghi nhận khớp háng của Phát xuất hiện một mô xương bất thường, nhô cao, kích thước khoảng 5x10 mm chiếm gần hết diện tích phía trước của chỏm xương đùi. ThS.BS.CKI Nguyễn Xuân Trường, Trung tâm Chấn thương Chỉnh hình, chẩn đoán thiếu niên này mắc hội chứng cấn khớp háng - một bệnh lý ít gặp. Tình trạng này xảy ra khi xương hông phát triển bất thường không rõ nguyên do, làm xuất hiện một mảng xương nhô cao hơn ở chỏm xương đùi.
Bác sĩ Trường giải thích bất kỳ cử động nào cũng làm cho phần xương này cấn vào ổ cối, gây đau dữ dội. Theo thời gian, sự ma sát bất thường làm cho khớp háng nhanh chóng bị mài mòn, thúc đẩy thoái hóa khớp diễn ra nhanh chóng, người bệnh đối mặt nguy cơ thay khớp háng sớm.

Bác sĩ chỉ định phẫu thuật loại bỏ mô xương thừa bằng kỹ thuật làm trật khớp háng. Ca mổ kéo dài 4 giờ, trong đó bác sĩ làm trật khớp háng, bộc lộ toàn bộ chỏm xương đùi, nhờ đó quan sát rõ hơn, đảm bảo các thao tác chính xác, tránh tổn thương mạch máu. Bác sĩ mài phẳng phần xương nhô lên và loại bỏ các mảnh xương dư thừa, đưa khớp về lại vị trí cũ, kiểm tra tầm vận động và đóng vết mổ. Phát còn nhỏ tuổi do đó ca mổ đòi hỏi sự tỉ mỉ và chính xác cao độ để tránh ảnh hưởng đến mạch máu, sụn khớp..., đảm bảo sự phát triển bình thường của xương và chức năng vận động sau này.
Ngày đầu sau mổ, người bệnh không còn cảm giác đau vướng khi vận động. Ngày thứ hai, Phát có thể tập đi với nạng và xuất viện sau đó hai ngày. Bác sĩ Trường tiên lượng sau hai tháng, khi xương đã lành hoàn toàn, Phát sinh hoạt và chơi thể thao trở lại như bình thường.

Bác sĩ Trường cho biết hội chứng cấn khớp háng xảy ra ở cả người lớn và trẻ em với các triệu chứng phổ biến nhất như đau cứng khớp, khó đi lại. Cơn đau thường xảy ra ở vùng bẹn, có thể lan ra ngoài hông. Các triệu chứng sẽ trở nên trầm trọng hơn khi chơi thể thao, ngồi xổm, leo cầu thang...
Hội chứng này khó chẩn đoán, do các triệu chứng bệnh như đau cứng khớp, khớp háng kêu lục cục khi cử động... rất dễ nhầm với viêm xương khớp, rách sụn viền. Hiện chưa có xét nghiệm hoặc các bài kiểm tra đánh giá đặc hiệu để chẩn đoán hội chứng này, dễ bỏ sót các triệu chứng đặc trưng nằm sâu trong khớp háng.
Nếu được phát hiện sớm, bệnh có thể điều trị bằng cách thay đổi thói quen sinh hoạt, dùng thuốc giảm đau và kháng viêm. Người bệnh được tập vật lý trị liệu để cải thiện phạm vi chuyển động ở hông và tăng cường các cơ hỗ trợ khớp, giảm áp lực lên xương sụn bị tổn thương. Ở giai đoạn muộn, bệnh khó điều trị hơn, cần phẫu thuật. Do đó, khi phát hiện các dấu hiệu bất thường, người bệnh cần sớm đến khám tại các cơ sở y tế có chuyên khoa cơ xương khớp hoặc chấn thương chỉnh hình.
Phi Hồng