Liệt lưỡi do u não, từ Mỹ về Việt Nam phẫu thuật bằng robot
Bà Hạnh, 55 tuổi, liệt lưỡi, nói không được do u não chèn ép thần kinh, sang Mỹ điều trị không hết, trở về Việt Nam phẫu thuật robot thành công.
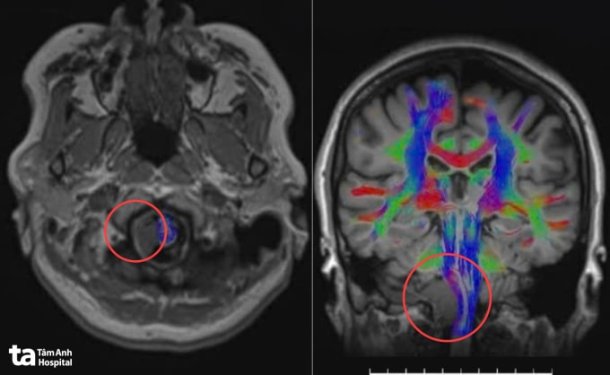
Ban đầu, bà Hạnh tê vùng lưỡi, đau đầu vùng chẩm đi khám phát hiện khối u não kích thước 2,5 cm ở vùng góc hành - tiểu não phải, chèn ép các dây thần kinh sọ thấp 9, 10, 11, 12. Đây là nhóm dây thần kinh điều khiển hoạt động nuốt, nói, cử động lưỡi, cơ cổ và động mạch cột sống.
Bà Hạnh sang Mỹ điều trị, do khối u ở vị trí phức tạp nên bác sĩ không phẫu thuật mà chủ yếu áp dụng biện pháp giảm triệu chứng ngắn hạn. Bà về Việt Nam, đến Bệnh viện Đa khoa Tâm Anh TP HCM khám trong tình trạng gần như không thể phát âm, ăn uống rất khó khăn.
ThS.BS.CKII Chu Tấn Sĩ, Trưởng khoa Ngoại Thần kinh - Cột sống, Trung tâm Khoa học Thần kinh, cho biết khối u của bà Hạnh nằm ở vùng thấp nhất của thân não, tiếp giáp giữa não và tủy sống. Khu vực này chứa nhiều nhân dây thần kinh sọ, trong đó có dây thần kinh số 12 (hạ thiệt) kiểm soát vận động của lưỡi.

Theo bác sĩ Sĩ, khối u chỉ cần chèn nhẹ một phần vùng hành não (nơi nằm sâu và nhạy cảm của não) cũng đủ gây liệt lưỡi, rối loạn nói, nuốt hoặc khiến người bệnh yếu liệt chi. Phẫu thuật vùng này đòi hỏi độ chính xác cao, chỉ cần lệch vài milimet có thể khiến người bệnh mất vĩnh viễn khả năng nói và nuốt.
Khối u của bà Hạnh nằm sâu trong hố sọ sau, sát thân não, động mạch nền và các dây thần kinh sọ thấp, nếu mổ theo phương pháp truyền thống, bác sĩ phải mở rộng phẫu trường và bóc tách nhiều mô, nguy cơ tổn thương các vùng chức năng sống còn rất lớn. Bác sĩ Sĩ cho rằng đây là lý do nhiều trung tâm nước ngoài thận trọng, ưu tiên can thiệp tạm thời để giảm triệu chứng hơn là phẫu thuật triệt để. "Nhờ hệ thống robot tích hợp AI hỗ trợ định vị chính xác cấu trúc và hỗ trợ bóc tách u với độ chính xác gần 100%, chúng tôi mới có thể tiếp cận và xử lý khối u", bác sĩ Tấn Sĩ giải thích.
Trước khi mổ, robot AI sử dụng công nghệ hòa hình đa lớp, tích hợp dữ liệu từ MRI và CT để tái tạo mô hình não 3D với độ phân giải cao. Nhờ đó, êkíp xác định rõ vị trí, kích thước cũng như mối liên quan giữa khối u và các dây thần kinh sọ 9, 10, 11, 12 cùng mạch máu nền sọ, lập kế hoạch tiếp cận tối ưu qua cửa sổ C1 - vùng nối giữa cổ và nền sọ.
Êkip bóc tách khối u từng lớp bằng kỹ thuật vi phẫu, kết hợp thiết bị cusa sử dụng sóng siêu âm phá mô u và hút ra ngay, hạn chế tối đa tổn thương mô lành xung quanh. Sau hơn ba giờ, khối u được lấy trọn, bảo tồn an toàn các dây thần kinh và mạch máu nền sọ.

Hậu phẫu, bà Hạnh tỉnh táo, tiếp xúc tốt, hết đau đầu, lưỡi mềm và nói rõ hơn. Hình CT sọ não kiểm tra hậu phẫu cho thấy không chảy máu, không phù não, các cấu trúc vùng hố sau ổn định. Dây thần kinh số 12 bị chèn ép trước mổ vẫn nguyên vẹn, chưa có dấu hiệu tổn thương không hồi phục.
Một tuần sau mổ, người bệnh ổn định, bắt đầu tập vận động, phục hồi chức năng và được theo dõi định kỳ để đánh giá khả năng hồi phục giọng nói, vận động lưỡi.
Bác sĩ Tấn Sĩ cho biết các khối u vùng thân não thường là u tế bào thần kinh đệm, u mạch máu hoặc u màng não, chiếm tỷ lệ rất nhỏ trong tổng số u hố sọ sau. Theo dữ liệu từ chương trình SEER (Mỹ), u thân não có tỷ lệ khoảng 0,31/100.000. Trong đó, các u vùng gốc hành - tiểu não càng ít gặp hơn do vị trí sâu, liên quan trực tiếp đến các trung tâm điều khiển hô hấp, tuần hoàn và vận động.
Người bị nói ngọng, lưỡi yếu, nuốt khó, đau đầu vùng chẩm kéo dài nên khám sớm tại bệnh viện có chuyên khoa ngoại thần kinh để được chẩn đoán và điều trị kịp thời, tránh biến chứng nặng.
Theo bác sĩ Tấn Sĩ, trước đây, với các khối u não nằm ở vùng "nhạy cảm" như góc cầu - tiểu não, thân não..., việc phẫu thuật thường được xem là mạo hiểm, nhiều người bệnh buộc phải tìm đến các trung tâm lớn ở nước ngoài với kỳ vọng tiếp cận kỹ thuật cao hơn. Hiện, Việt Nam đã làm chủ nhiều kỹ thuật khó trong phẫu thuật thần kinh - sọ não, đặc biệt nhờ ứng dụng robot và hệ thống định vị, vi phẫu hiện đại. Điều này giúp người bệnh được điều trị hiệu quả ngay trong nước, giảm gánh nặng chi phí và thời gian di chuyển, trong khi vẫn đảm bảo tiêu chuẩn chuyên môn cao.
Trọng Nghĩa
*Tên người bệnh đã thay đổi
| Độc giả gửi câu hỏi về bệnh thần kinh tại đây để bác sĩ giải đáp |