Men gan cao gấp 30 lần, phát hiện ung thư tụy

26/01/2026 08:00

Ông Quang, 69 tuổi, chán ăn, sụt cân, men gan tăng gấp 30 lần, bác sĩ chẩn đoán ung thư tụy.

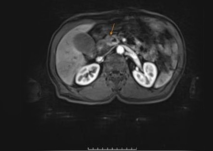
Sau vài tuần uống thuốc khi chỉ số men gan tăng cao, da và củng mạc mắt chuyển sang màu vàng, ông Quang đến Bệnh viện Đa khoa Tâm Anh TP HCM khám. Kết quả xét nghiệm cho thấy men gan của ông Quang cao hơn 30 lần so với bình thường, trong đó ALT (GPT) lên tới 1.600 U/L (bình thường khoảng 50 U/L). Chụp CT tụy và MRI ổ bụng ghi nhận tổn thương tại vùng đầu tụy kích thước khoảng 20 mm, chèn ép và xâm lấn túi tụy, giãn ống tụy 7 mm, thành túi mật phù nề, ống mật chủ giãn trong và ngoài gan.

Tổn thương bất thường ở vùng đầu tụy trên ảnh CT. Ảnh Bệnh viện Đa khoa Tâm Anh
Tổn thương bất thường ở vùng đầu tụy trên ảnh CT. Ảnh Bệnh viện Đa khoa Tâm Anh

BS.CKII Võ Ngọc Bích, Khoa Gan - Mật - Tụy, Trung tâm Nội soi và Phẫu thuật Nội soi Tiêu hóa, chẩn đoán ông Quang bị ung thư tụy, diễn tiến rất nhanh. Khối u nằm ở đầu tụy, cần thực hiện kỹ thuật cắt khối tá tụy (Whipple) nhằm loại bỏ toàn bộ khối u, ngăn xâm lấn và di căn sang các cơ quan khác.

Trước phẫu thuật, người bệnh được đặt dẫn lưu dịch mật ra ngoài giúp điều trị hạ men gan ổn định, tránh nguy cơ nhiễm trùng và bục đường nối.

Bác sĩ Bích (bên trái) phẫu thuật nội soi cắt khối tá tụy cho ông Quang. Ảnh: Bệnh viện cung cấp
Bác sĩ Bích (bên trái) phẫu thuật nội soi cắt khối tá tụy cho ông Quang. Ảnh: Bệnh viện cung cấp

Êkíp cắt bỏ đầu tụy, phần hang vị dạ dày, tá tràng, quai đầu tiên của hỗng tràng, túi mật, đoạn thấp của ống mật chủ, nạo vét hạch xung quanh. Sau khi cắt u, các bác sĩ tái lập lưu thông tiêu hóa, nối phần tụy còn lại, ống mật và dạ dày vào ruột non giúp duy trì chức năng tiêu hóa.

Hậu phẫu hai ngày, người bệnh có thể đi lại, xuất viện sau 10 ngày. Kết quả giải phẫu là ung thư biểu mô tuyến ống tụy, biệt hóa cao, tất cả diện cắt không còn u các hạch vùng được nạo là hạch viêm.

Bác sĩ hỏi thăm tình hình sức khỏe ông Quang sau phẫu thuật. Ảnh: Bệnh viện cung cấp
Bác sĩ hỏi thăm tình hình sức khỏe ông Quang sau phẫu thuật. Ảnh: Bệnh viện cung cấp

Ung thư tụy nguy hiểm nhất do diễn tiến nhanh, âm thầm, tuyến tụy nằm sâu phía sau dạ dày, các khối u nhỏ hầu như không thể sờ thấy khi khám lâm sàng thông thường. Các tế bào ung thư tụy có xu hướng xâm lấn sớm vào hệ thống mạch máu lớn và các bó thần kinh xung quanh tụy, khiến bệnh nhanh chóng lan rộng. Bệnh phát hiện trễ, khi khối u đã ở giai đoạn muộn, làm giảm cơ hội điều trị triệt căn.

Triệu chứng ban đầu như đầy hơi, chướng bụng, đau lưng âm ỉ hoặc mệt mỏi kéo dài... khá mơ hồ, dễ nhầm lẫn với các bệnh dạ dày hay tiêu hóa thông thường.

Bác sĩ Bích khuyến cáo người dân khám sức khỏe định kỳ, nhất là nhóm nguy cơ cao như trên 50 tuổi, hút thuốc lá, mắc đái tháo đường mới khởi phát, có tiền sử gia đình mắc ung thư tụy hoặc viêm tụy mạn.

Quyên Phan

Độc giả gửi câu hỏi về bệnh tiêu hóa tại đây để bác sĩ giải đáp
Theo vnexpress.net
https://vnexpress.net/men-gan-cao-gap-30-lan-phat-hien-ung-thu-tuy-5008964.html
Copy Link
https://vnexpress.net/men-gan-cao-gap-30-lan-phat-hien-ung-thu-tuy-5008964.html
    Nổi bật
        Mới nhất
        Men gan cao gấp 30 lần, phát hiện ung thư tụy
        • Mặc định

        POWERED BY ONECMS - A PRODUCT OF NEKO