Một tháng sốt, đau bụng vì tăm tre 'đi lạc' vào gan
Người đàn ông 65 tuổi bị sốt, đau bụng suốt một tháng, bác sĩ phát hiện chiếc tăm tre dài gần 7 cm đâm xuyên ống tiêu hóa, "đi lạc" vào gan gây áp xe lớn.
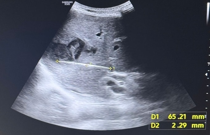
Ngày 4/2, bác sĩ Trần Đình Quốc, Khoa Ngoại Gan Mật Tụy, Bệnh viện Chợ Rẫy, cho biết bệnh nhân nhập viện trong tình trạng sốt kéo dài không rõ nguyên nhân, đau vùng thượng vị và hạ sườn phải, sau khi điều trị nhiều nơi không hiệu quả. Siêu âm và CT bụng phát hiện dị vật cản quang dài 6-7 cm nằm trọn trong gan, xung quanh hình thành ổ áp xe.
Bác sĩ Mã Phước Nguyên, Phó trưởng Khoa Nội Tiêu Hóa, nhận định đây là trường hợp khó chẩn đoán ở tuyến dưới vì triệu chứng lâm sàng giống áp xe gan đơn thuần. Hình ảnh siêu âm thông thường khó phát hiện vết xuyên thành dạ dày. Dị vật này đã xuyên thủng thành ống tiêu hóa, di chuyển âm thầm và khu trú sâu trong gan.

Bệnh nhân được chỉ định phẫu thuật khẩn cấp để loại bỏ dị vật và dẫn lưu ổ mủ. Theo bác sĩ Quốc, ca mổ gặp nhiều thách thức do vị trí tổn thương nằm rất sâu, sát cơ hoành và gần các mạch máu lớn. Êkíp ban đầu dự tính mổ nội soi nhưng không thể tiếp cận được tổn thương, buộc phải chuyển phương pháp mổ để đảm bảo an toàn, phá ổ áp xe và tìm dị vật.
Thời gian phẫu thuật kéo dài gấp đôi so với các ca mổ áp xe gan nằm ở vùng ngoại biên thông thường. Dị vật được lấy ra là một chiếc tăm tre sắc nhọn hai đầu. Sau mổ 6 ngày, sức khỏe bệnh nhân ổn định, hết sốt và dự kiến xuất viện hôm nay. Ông cho biết có thói quen ngậm tăm sau khi ăn, không nhớ thời điểm nuốt phải dị vật, có thể đã vô tình nuốt trong lúc ngủ hoặc lơ đễnh.

Bác sĩ khuyến cáo nuốt dị vật đường tiêu hóa là tai nạn thường gặp, phổ biến nhất là xương cá và tăm tre. Dị vật sắc nhọn có thể xuyên thủng ruột gây viêm phúc mạc, hoặc di chuyển sang các tạng khác như gan gây áp xe, nhiễm trùng huyết. Nguy hiểm nhất là khi dị vật đâm thủng mạch máu lớn, đe dọa trực tiếp đến tính mạng.
Người dân cần bỏ thói quen ngậm tăm đi ngủ hoặc làm việc khác sau khi xỉa răng. Khi có dấu hiệu đau bụng, sốt kéo dài không rõ nguyên nhân, cần đến bệnh viện kiểm tra sớm để tránh biến chứng nghiêm trọng.
Lê Phương