Nhiễm trùng sau 10 ngày đắp lá chữa đau khớp

10/04/2026 11:00

Ông Trịnh, 58 tuổi, đắp lá, châm cứu chữa đau khớp 10 ngày sau bị nhiễm trùng, được bác sĩ phẫu thuật nội soi cắt lọc làm sạch.

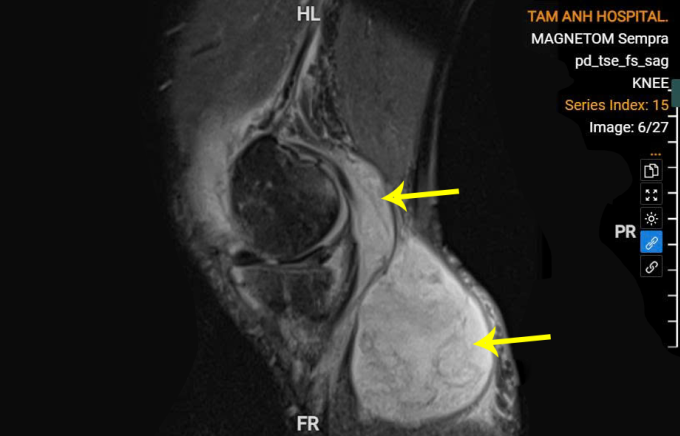
Ông Trịnh bị viêm đa khớp, đau khớp, u bao hoạt dịch khớp gối nhiều năm. Xét nghiệm máu tại Bệnh viện Đa khoa Tâm Anh Hà Nội cho thấy chỉ số bạch cầu, CRP và procalcitonin tăng cao. Siêu âm, chụp cộng hưởng từ ghi nhận dịch mủ, phía sau gối có u bao hoạt dịch lớn 5x10 cm chứa đầy dịch mủ đục.

U bao hoạt dịch chứa ổ mủ lớn sau khớp gối ông Trịnh. Ảnh: Bệnh viện Đa khoa Tâm Anh
U bao hoạt dịch chứa ổ mủ lớn sau khớp gối ông Trịnh. Ảnh: Bệnh viện Đa khoa Tâm Anh

BS.CKII Trần Tuấn Anh, khoa Chấn thương chỉnh hình, chẩn đoán ông Trịnh bị nhiễm trùng ổ mủ khớp gối. Bác sĩ nghi ngờ có thể khi đắp lá hay châm cứu theo phương pháp dân gian không đảm bảo vô khuẩn gây nhiễm trùng.

Ông Trịnh được bác sĩ phẫu thuật lấy dịch khớp gối và u bao hoạt dịch nuôi cấy vi khuẩn, cắt lọc u, làm sạch khớp gối. Hậu phẫu, người bệnh tỉnh táo, ít đau, điều trị theo phác đồ kháng sinh. Sau 5 ngày, khớp gối ông Trịnh hết sưng, không còn đau, các chỉ số viêm giảm, tiếp tục truyền kháng sinh hết phác đồ kết hợp tập phục hồi chức năng.

Ngày thứ 10, ông Trịnh có thể tự đi lại nhẹ nhàng, gối hết đau, xuất viện và tiếp tục uống kháng sinh theo đơn.

Ông Trịnh (bên trái) đi lại cùng người nhà sau thời gian điều trị. Ảnh: Bệnh viện Đa khoa Tâm Anh
Ông Trịnh (bên trái) đi lại cùng người nhà sau thời gian điều trị. Ảnh: Bệnh viện Đa khoa Tâm Anh

Nhiễm trùng ổ mủ khớp gối là tình trạng nguy hiểm khi vi khuẩn xâm nhập khớp, gây nhiễm trùng cấp tính và hình thành mủ trong khớp gối. Nếu không phẫu thuật, dịch mủ có thể phá hủy các cấu trúc quan trọng như sụn khớp, sụn chêm, bao hoạt dịch và làm tổn thương hệ thống dây chằng khớp gối, gây viêm xương hoặc vi khuẩn đi sâu dẫn đến nhiễm trùng huyết.

Bác sĩ khuyến cáo người có bệnh cơ xương khớp mạn tính nên tới bệnh viện đa chuyên khoa, có trang thiết bị, phòng tiêm khớp vô khuẩn điều trị. Người bệnh nên tái khám định kỳ, không mua lại đơn thuốc cũ, tránh tự tăng giảm liều thuốc hoặc bỏ điều trị. Không chữa theo phương pháp dân gian tại các cơ sở khám chữa bệnh không đảm bảo, thực hiện bởi người không có giấy phép, chứng chỉ hành nghề đúng chuyên môn.

Thanh Long

Độc giả gửi câu hỏi về bệnh cơ xương khớp tại đây để bác sĩ giải đáp
Theo vnexpress.net
https://vnexpress.net/nhiem-trung-sau-10-ngay-dap-la-chua-dau-khop-5060754.html
Copy Link
https://vnexpress.net/nhiem-trung-sau-10-ngay-dap-la-chua-dau-khop-5060754.html
    Nổi bật
        Mới nhất
        Nhiễm trùng sau 10 ngày đắp lá chữa đau khớp
        • Mặc định

        POWERED BY ONECMS - A PRODUCT OF NEKO