Nối xương đùi cho cụ bà 94 tuổi
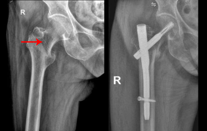
Cụ Lộc, 94 tuổi, ngã đau hông không thể đứng dậy, bác sĩ chẩn đoán gãy liên mấu chuyển xương đùi và phẫu thuật nối lại.
ThS.BS Nguyễn Quang Huy, Khoa Chấn thương Chỉnh hình, Bệnh viện Đa khoa Tâm Anh Hà Nội, chỉ định phẫu thuật cấp cứu giúp người bệnh khôi phục vận động sớm, tránh huyết khối, loét tì đè, viêm phổi nếu nằm bất động lâu ngày. Êkíp đa chuyên khoa gồm cấp cứu, nội khoa, lão khoa, tim mạch, gây mê hồi sức, chấn thương chỉnh hình, dinh dưỡng và phục hồi chức năng phối hợp phẫu thuật cho người bệnh trong 24 giờ - "thời gian vàng".

Khám sàng lọc đa chuyên khoa trước mổ cho cụ Lộc, bác sĩ phát hiện một nhánh mạch vành hẹp đến 80-90% và tính toán liều gây mê phù hợp. Êkíp sử dụng bàn mổ chỉnh hình, nắn chỉnh, kiểm tra ổ gãy liên mấu chuyển xương đùi dưới màn hình tăng sáng và hệ thống X-quang di động (C-arm), đưa người bệnh về tư thế mổ thuận lợi nhất nhằm rút ngắn thời gian phẫu thuật.
Trong 40 phút, bác sĩ rạch các đường mổ nhỏ 2-3 cm phía ngoài ổ gãy, đóng đinh nội tủy, bắt vít cố định liên mấu chuyển xương đùi, đóng vết mổ. Phương pháp xâm lấn tối thiểu, giảm nguy cơ trong và sau mổ như mất máu, biến chứng tim mạch cho người bệnh.
Hậu phẫu, cụ hồi tỉnh tốt, không đau, có thể tập phục hồi chức năng tại giường ngay ngày đầu. Sau hai ngày, người bệnh có thể tỳ đè và tập đi lại với dụng cụ hỗ trợ, xuất viện trong 6 ngày.
Cụ tiếp tục tập phục hồi chức năng trong 3-6 tuần đầu nhằm tăng sức mạnh cơ, đến tuần thứ 8-12 có thể khôi phục vận động. Người nhà cần theo sát, không để người bệnh tự di chuyển một mình, nếu ngã tái gãy xương đùi, phẫu thuật lần hai rất khó, nguy cơ tử vong cao, theo bác sĩ Huy.

Bác sĩ Huy cho biết người cao tuổi dễ bị ngã, nguy cơ càng cao khi thời tiết lạnh gây cứng khớp, hệ gân cơ kém linh hoạt, nhất là vào ban đêm. Nhiều người bệnh ngã gãy xương đùi, do lớn tuổi nên không phẫu thuật mà chỉ bó bột hoặc tự bó lá tại nhà. Nếu không được phẫu thuật kịp thời, đúng phác đồ, người bệnh nguy cơ tử vong trong năm đầu tiên cao.
Gia đình có người cao tuổi nên dự phòng nguy cơ té ngã cho họ bằng cách lắp đặt tay vịn trong nhà, nhà vệ sinh, bậc thềm, thiết kế giường, ghế, bồn cầu cao vừa tầm. Khuyến khích người cao tuổi sử dụng gậy, khung tập đi, ban đêm đi vệ sinh tại phòng. Khi thức dậy, người cao tuổi không nên xuống giường đột ngột. Cần ngồi dậy trong vòng 2 phút để cơ thể thật tỉnh táo rồi mới rời khỏi giường.
Người nhà hạn chế để người cao tuổi tắm rửa, sinh hoạt một mình, nhất là khi thời tiết lạnh. Nếu người cao tuổi bị ngã, đau dữ dội, sưng tấy, bầm tím vùng hông, không thể đứng dậy và đi lại, nghi gãy xương đùi cần đưa ngay tới bệnh viện để khám và điều trị.
Thanh Long