Phát hiện mắc 2 loại ung thư từ triệu chứng vàng da

19/03/2026 05:00

Người phụ nữ 59 tuổi vàng da, đau vùng hạ sườn kéo dài, đi khám được chẩn đoán mắc ung thư đại tràng và ung thư đường mật trong gan.

Ngày 17/3, PGS.TS. Phạm Cẩm Phương, Giám đốc Trung tâm Y học hạt nhân và Ung bướu, Bệnh viện Bạch Mai, cho hay vừa tiếp nhận và điều trị thành công một trường hợp đặc biệt khi bệnh nhân mắc đồng thời hai ung thư nguyên phát. Ung thư đại tràng phải và ung thư đường mật trong gan - tình huống hiếm gặp, đặt ra nhiều thách thức trong chẩn đoán và điều trị.

Trước đó, người phụ nữ nhập viện trong tình trạng vàng da, ngứa và đau vùng hạ sườn phải kéo dài. Kết quả chẩn đoán hình ảnh cho thấy tổn thương đường mật trong gan kèm sỏi và giãn đường mật. Trong quá trình thăm khám toàn diện, nội soi tiêu hóa phát hiện thêm một khối u tại đại tràng lên. Kết quả sinh thiết xác định đây là ung thư biểu mô tuyến.

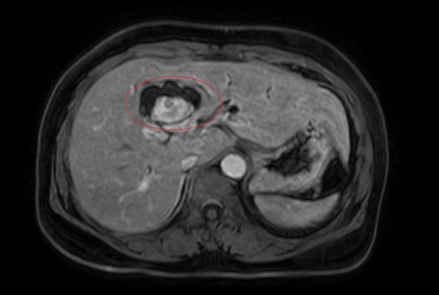
Hình ảnh giãn khu trú đường mật gan trái, tạo cấu trúc dạng nang. Ảnh: Bệnh viện cung cấp
Hình ảnh giãn khu trú đường mật gan trái, tạo cấu trúc dạng nang. Ảnh: Bệnh viện cung cấp

Sau hội chẩn đa chuyên khoa, các bác sĩ xác định bệnh nhân mắc đồng thời hai ung thư nguyên phát, thay vì một khối u di căn. Cụ thể, ung thư đại tràng phải giai đoạn sớm, chưa di căn hạch và ung thư đường mật trong gan giai đoạn tiến triển, có xâm lấn và di căn hạch.

"Việc phân biệt hai ung thư nguyên phát với ung thư di căn có ý nghĩa quyết định trong lựa chọn chiến lược điều trị" bác sĩ Phương nói, thêm rằng dựa trên thể trạng người bệnh và đặc điểm tổn thương, êkíp điều trị đã quyết định thực hiện phẫu thuật triệt căn trong cùng một lần mổ.

Bệnh nhân được cắt đoạn đại tràng phải, nạo vét hạch, đồng thời cắt gan trái và đường mật ngoài gan. Phẫu thuật diễn ra thuận lợi, loại bỏ hoàn toàn các tổn thương. Sau mổ, bệnh nhân hồi phục tốt, chức năng gan mật dần ổn định.

Kết quả giải phẫu bệnh sau phẫu thuật cho thấy tổn thương đại tràng đã được cắt bỏ triệt căn, không cần điều trị bổ trợ. Còn ung thư đường mật có xâm lấn thần kinh và di căn hạch, cần tiếp tục điều trị bổ trợ. Bệnh nhân được chuyển sang điều trị tiếp tại Trung tâm Y học hạt nhân và Ung bướu để hóa trị bổ trợ, nhằm giảm nguy cơ tái phát.

Theo các chuyên gia, việc phát hiện đồng thời hai ung thư nguyên phát trong hệ tiêu hóa là rất hiếm. Trường hợp này cho thấy vai trò quan trọng của thăm khám toàn diện và chẩn đoán chính xác trong việc xây dựng phác đồ điều trị tối ưu. Đáng chú ý, ung thư đường mật trong gan thường có tiên lượng xấu do phát hiện muộn. Tuy nhiên, ở bệnh nhân này, bệnh được phát hiện tương đối sớm nhờ triệu chứng tắc mật, tạo điều kiện để can thiệp phẫu thuật triệt căn.

Sau điều trị, bệnh nhân cần tái khám định kỳ 3-6 tháng/lần với các phương pháp như siêu âm, CT hoặc MRI và xét nghiệm dấu ấn ung thư. Với ung thư đại tràng, nội soi kiểm tra nên thực hiện mỗi 1-2 năm để phát hiện sớm tái phát hoặc tổn thương mới.

Lê Nga

Theo vnexpress.net
https://vnexpress.net/phat-hien-mac-2-loai-ung-thu-tu-trieu-chung-vang-da-5051466.html
Copy Link
https://vnexpress.net/phat-hien-mac-2-loai-ung-thu-tu-trieu-chung-vang-da-5051466.html
    Nổi bật
        Mới nhất
        Phát hiện mắc 2 loại ung thư từ triệu chứng vàng da
        • Mặc định

        POWERED BY ONECMS - A PRODUCT OF NEKO