Tin tức 24h
Kinh tế
Văn hóa
Giải trí
Đời sống
Du lịch
Beauty & Fashion
Doctor 247
rửa ôtô
Cập nhập tin tức rửa ôtô
Rửa ôtô bằng drone
Nhờ công nghệ đặc biệt, drone có thể phun xà phòng và rửa sạch xe từ độ cao mà hệ thống thông thường không thể.
Tin tức 24h
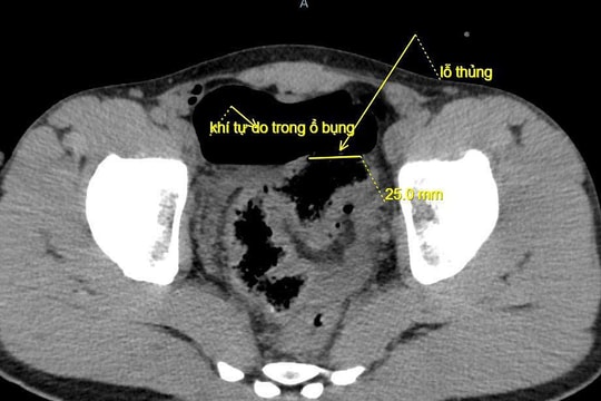
Dùng vòi nước rửa ôtô xịt hậu môn gây thủng đại tràng
Người đàn ông 30 tuổi dùng vòi nước rửa ôtô (áp lực cao) xịt vào hậu môn làm thủng đại tràng, nhập viện cấp cứu.
Đọc nhiều
POWERED BY
ONE
CMS
- A PRODUCT OF
NEKO