Ruột thừa vỡ gây nhiễm trùng ổ bụng bé trai

30/01/2026 10:00

Bé Hưng, 12 tuổi, đau bụng âm ỉ, nôn ói tưởng rối loạn tiêu hóa, bác sĩ chẩn đoán ruột thừa vỡ gây viêm phúc mạc.

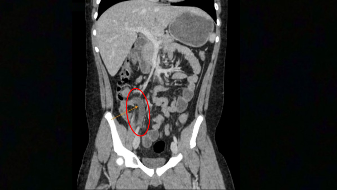
Kết quả xét nghiệm máu của bé Hưng tại Phòng khám Đa khoa Tâm Anh Quận 7 ghi nhận chỉ số bạch cầu 22.74 K/ul (bình thường dưới 10 K/ul), CRP tăng 4 lần so với bình thường cho thấy viêm nhiễm cấp tính nặng. Chụp CT-Scan cho thấy ruột thừa bé Hưng đường kính 12 mm (trên 6 mm là viêm), kèm sỏi phân 8 mm gây bít tắc lòng ruột thừa. Sỏi phân làm tăng áp lực trong ruột thừa, chèn ép mạch máu, dẫn đến viêm hoại tử, vỡ ruột thừa trong thời gian ngắn, phải phẫu thuật cấp cứu.

Hình ảnh CT cho thấy viêm ruột thừa kèm sỏi phân. Ảnh: Phòng khám Đa khoa Tâm Anh Quận 7
Hình ảnh CT cho thấy viêm ruột thừa kèm sỏi phân. Ảnh: Phòng khám Đa khoa Tâm Anh Quận 7

Bé được chuyển đến Bệnh viện Đa khoa Tâm Anh TP HCM. ThS.BS.CKI Tôn Thị Anh Tú, khoa Ngoại Nhi, phẫu thuật nội soi ghi nhận ruột thừa đã vỡ, mủ và vi khuẩn tràn vào ổ bụng gây viêm phúc mạc - biến chứng nguy hiểm có thể dẫn đến nhiễm khuẩn huyết, sốc nhiễm trùng. Êkíp cắt ruột thừa viêm, làm sạch ổ bụng, gỡ dính ruột và đặt dẫn lưu để loại bỏ dịch mủ còn sót, phòng ngừa áp xe tồn lưu trong ổ bụng.

Hậu phẫu, bệnh nhi tiếp tục được theo dõi, truyền kháng sinh đường tĩnh mạch nhằm tiêu diệt vi khuẩn đã lan trong ổ bụng trong 7 ngày (mổ ruột thừa bình thường cần 1-2 ngày). Hưng đáp ứng thuốc, ăn uống tốt, hết đau bụng, được xuất viện. Bác sĩ Tú khuyến cáo phụ huynh đưa bé Hưng đi khám ngay nếu đau bụng từng cơn kèm nôn trớ, bí trung đại tiện, để phòng nguy cơ tắc ruột sau mổ.

Bác sĩ Tú khám cho bé Hưng sau phẫu thuật. Ảnh: Bệnh viện Đa khoa Tâm Anh
Bác sĩ Tú khám cho bé Hưng sau phẫu thuật. Ảnh: Bệnh viện Đa khoa Tâm Anh

Viêm ruột thừa là tình trạng ruột thừa bị tắc nghẽn, sưng viêm và nhiễm trùng. Triệu chứng điển hình là đau quanh rốn, sau đó lan xuống hố chậu phải, đau âm ỉ liên tục, kèm buồn nôn, nôn, chán ăn, có thể tiêu chảy hoặc táo bón.

Ở trẻ nhỏ, triệu chứng thường không điển hình, dễ nhầm với rối loạn tiêu hóa. Do thành ruột thừa mỏng, bệnh có thể diễn tiến nhanh và vỡ trong 24-48 giờ. Nếu không điều trị kịp thời, viêm ruột thừa có thể gây biến chứng như áp xe ruột thừa, tắc ruột, viêm phúc mạc...

Nếu trẻ có biểu hiện đau bụng liên tục, nhất là đau vùng bụng dưới bên phải, sốt, kèm nôn trớ, bụng căng đau khi sờ vào, phụ huynh cần đưa trẻ đi khám ngay.

Đình Lâm

*Tên người bệnh đã được thay đổi

Độc giả gửi câu hỏi về nhi sơ sinh tại đây để bác sĩ giải đáp
Theo vnexpress.net
https://vnexpress.net/ruot-thua-vo-gay-nhiem-trung-o-bung-be-trai-5011740.html
Copy Link
https://vnexpress.net/ruot-thua-vo-gay-nhiem-trung-o-bung-be-trai-5011740.html
    Nổi bật
        Mới nhất
        Ruột thừa vỡ gây nhiễm trùng ổ bụng bé trai
        • Mặc định

        POWERED BY ONECMS - A PRODUCT OF NEKO