Sa sút trí tuệ do bệnh thoái hóa não

25/03/2026 16:00

Ông Tấn, 66 tuổi, suy giảm trí nhớ, nhận thức, ngôn ngữ, bác sĩ chẩn đoán thoái hóa não do prion - loại protein làm tổn thương lan tỏa tế bào thần kinh.

Ông Tấn thường thức giấc giữa đêm, nói chậm hơn. Gần đây, các triệu chứng tăng nhanh, mất ngủ, nhìn mờ, đi lại nghiêng ngã, hay quên, ông đến Bệnh viện Đa khoa Tâm Anh TP HCM khám. BS.CKI Trần Mai Hạnh Tiên, Khoa Thần kinh, Trung tâm Khoa học Thần kinh, ghi nhận ông Tấn suy giảm trí nhớ rõ rệt bởi có thể nhắc lại ngay ba đồ vật nhưng sau 5 phút thì quên hoàn toàn, kể cả khi được gợi ý. Ông gặp khó khăn với các phép tính đơn giản và không gọi tên được con vật theo yêu cầu, cho thấy nhiều chức năng nhận thức như trí nhớ, tập trung và ngôn ngữ bị ảnh hưởng.

Bác sĩ khám thần kinh ghi nhận người bệnh bị rung giật nhãn cầu, đi lại mất thăng bằng và một số phản xạ bất thường. Đánh giá tổng thể cho thấy người bệnh suy giảm nhận thức mức độ trung bình, ảnh hưởng nhiều lĩnh vực gồm trí nhớ, chức năng điều hành, tập trung chú ý và ngôn ngữ.

Kết quả chụp MRI 3 Tesla cho thấy nhiều vùng bất thường ở vỏ não và một số cấu trúc sâu trong não. Điện não đồ ghi nhận sóng chậm lan tỏa ở cả hai bán cầu. Bác sĩ chỉ định xét nghiệm dịch não tủy phát hiện protein 14-3-3 tăng cao (82 ng/mL) - dấu ấn sinh học quan trọng giúp củng cố chẩn đoán bệnh liên quan prion.

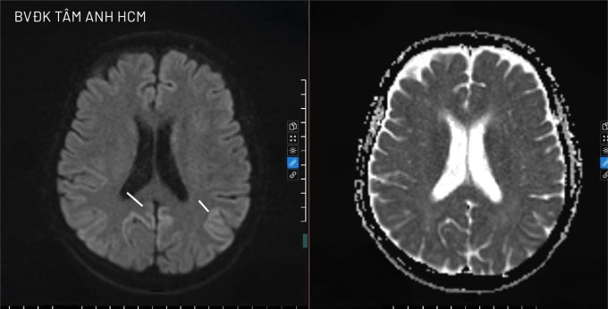
Ảnh MRI cho thấy vùng vỏ não của ông Tấn tăng tín hiệu dạng dải sáng đặc trưng của bệnh Creutzfeldt-Jakob. Ảnh: Bệnh viện Đa khoa Tâm Anh
Ảnh MRI cho thấy vùng vỏ não của ông Tấn tăng tín hiệu dạng "dải sáng" đặc trưng của bệnh Creutzfeldt-Jakob. Ảnh: Bệnh viện Đa khoa Tâm Anh

Theo bác sĩ Tiên, bệnh Creutzfeldt-Jakob là bệnh thoái hóa não do prion, khả năng tiến triển rất nhanh, tỷ lệ khoảng 1/1.000.000 người. Bình thường trong não mỗi người đều có một loại protein gọi là prion (PrP) ở dạng bình thường, vô hại. Tuy nhiên, khi protein này bị gấp cuộn sai cấu trúc, trở thành dạng bất thường, có khả năng "làm biến dạng" các protein bình thường xung quanh, khiến chúng cũng trở thành bất thường và lan rộng như phản ứng dây chuyền. Quá trình này làm các tế bào thần kinh tổn thương, chết nhanh, tạo ra nhiều lỗ nhỏ trong mô não, khiến chức năng não suy giảm.

Ông Tấn chụp MRI 3 Tesla não để chẩn đoán bệnh. Ảnh: Bệnh viện Đa khoa Tâm Anh
Ông Tấn chụp MRI 3 Tesla não để chẩn đoán bệnh. Ảnh: Bệnh viện Đa khoa Tâm Anh

Ông Tấn được chăm sóc giảm nhẹ, kiểm soát các triệu chứng thần kinh, hỗ trợ dinh dưỡng, vận động và hô hấp. Mục tiêu là giúp giảm khó chịu, hạn chế biến chứng, duy trì chất lượng cuộc sống tốt nhất có thể trong quá trình điều trị.

Hiện, -Jakob chưa có phương pháp điều trị đặc hiệu vì prion không phải vi khuẩn hay virus nên không đáp ứng với kháng sinh, kháng virus hay thuốc ức chế miễn dịch. Khi prion đã kích hoạt quá trình biến đổi dây chuyền trong não, tổn thương tế bào thần kinh diễn ra liên tục và không thể đảo ngược, theo bác sĩ Tiên.

Bệnh thường tiến triển nhanh qua từng giai đoạn, ban đầu là suy giảm trí nhớ và thay đổi hành vi. Tiếp đến, người bệnh mất khả năng phối hợp vận động, giật cơ, rối loạn nuốt, nói khó, giảm ý thức. Ở giai đoạn muộn, người bệnh gần như không giao tiếp được, nằm một chỗ, phụ thuộc hoàn toàn vào chăm sóc.

Người lớn tuổi xuất hiện saCreutzfeldt sút trí tuệ diễn tiến nhanh trong vài tuần đến vài tháng, kèm rối loạn thăng bằng, thay đổi hành vi hoặc rối loạn thị giác cần được khám chuyên khoa thần kinh sớm. Chụp MRI não với kỹ thuật khuếch tán, điện não đồ giúp bác sĩ chẩn đoán, phân biệt với các nguyên nhân có thể điều trị được như viêm não, bệnh tự miễn hay rối loạn chuyển hóa, từ đó có kế hoạch chăm sóc và theo dõi phù hợp.

Trọng Nghĩa

*Tên người bệnh đã được thay đổi

Độc giả đặt câu hỏi về bệnh thần kinh tại đây để bác sĩ giải đáp
Theo vnexpress.net
https://vnexpress.net/sa-sut-tri-tue-do-benh-thoai-hoa-nao-5054685.html
Copy Link
https://vnexpress.net/sa-sut-tri-tue-do-benh-thoai-hoa-nao-5054685.html
    Nổi bật
        Mới nhất
        Sa sút trí tuệ do bệnh thoái hóa não
        • Mặc định

        POWERED BY ONECMS - A PRODUCT OF NEKO