Tin tức 24h
Kinh tế
Văn hóa
Giải trí
Đời sống
Du lịch
Beauty & Fashion
Doctor 247
sán dây lợn
Cập nhập tin tức sán dây lợn
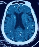
Nang sán dây lợn 'phát sáng' khắp cơ thể người phụ nữ
Người phụ nữ 77 tuổi rối loạn ý thức, ảnh chụp CT sọ não và X-quang ngực cho thấy nang sán dây lợn vôi hóa chi chít trong não và cơ thể.
Tin tức 24h
Đọc nhiều
POWERED BY
ONE
CMS
- A PRODUCT OF
NEKO