Tin tức 24h
Kinh tế
Văn hóa
Giải trí
Đời sống
Du lịch
Beauty & Fashion
Doctor 247
sán dây
Cập nhập tin tức sán dây
Sẩn ngứa suốt năm, đi khám phát hiện nhiễm sán dây chó
Nam sinh 16 tuổi sẩn ngứa trong thời gian dài, tưởng viêm da cơ địa, không ngờ xét nghiệm mới phát hiện nguyên nhân do ký sinh trùng.
Tin tức 24h
Sán dây gần một mét 'ngọ nguậy' trong ruột người thích ăn đồ tái
Thấy đoạn trắng giống sợi phở ngọ nguậy lúc đại tiện, người đàn ông 35 tuổi đi khám, bác sĩ phát hiện sán dây dài 80 cm di chuyển trong đại tràng.
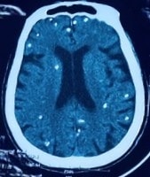
Nang sán dây lợn 'phát sáng' khắp cơ thể người phụ nữ
Người phụ nữ 77 tuổi rối loạn ý thức, ảnh chụp CT sọ não và X-quang ngực cho thấy nang sán dây lợn vôi hóa chi chít trong não và cơ thể.
Đọc nhiều
POWERED BY
ONE
CMS
- A PRODUCT OF
NEKO