Siêu âm cho thai phụ, bác sĩ sốc nặng khi thấy thứ bên trong
Các bác sĩ đã rất bất ngờ khi phát hiện ra thứ bên trong bụng của người phụ nữ mang thai.
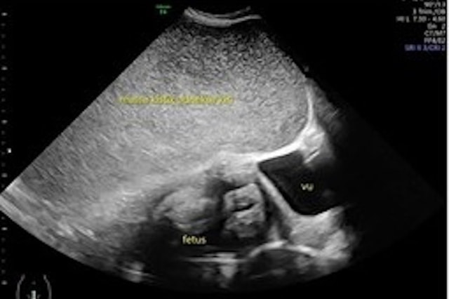
Người phụ nữ 26 tuổi mang thai ở tuần thứ 34 đã đi khám và phát hiện ra cô có một khối u nang rất lớn, đường kính 35cm, đang phát triển xung quanh em bé.
Cô đã siêu âm 6 tuần trước và phát hiện có u nang buồng trứng nhưng không phát hiện ra cho đến tam cá nguyệt thứ ba.
Sau lần khám bệnh thứ hai, các bác sĩ phát hiện thai nhi thực sự đã bắt đầu chậm phát triển – được cho là do u nang đẩy tử cung về phía bên phải bụng.

Bốn tuần sau, các bác sĩ đã phẫu thuật cho người mẹ. Họ phát hiện khối u nang nằm ở buồng trứng trái, chứa 11 lít dịch. Sau khi kiểm tra kỹ hơn, họ phát hiện nó có đường kính 35cm và được xác định là lành tính.
Trong khi đó, một ca sinh mổ đã được thực hiện để sinh em bé, và cậu bé nặng 2,2kg đã chào đời mà không có biến chứng nào.
Thật khó tin, người mẹ - người được điều trị tại Bệnh viện Dr. Cipto Mangunkusumo ở Jakarta, Indonesia, đã hồi phục nhanh chóng và được xuất viện mà không có biến chứng nào.

Sự việc xảy ra sau khi một cặp vợ chồng mới cưới chia sẻ về cú sốc của họ khi biết rằng đứa con mới sinh có thể bị mất thị lực vĩnh viễn do mắc một căn bệnh hiếm gặp.
Petru, 31 tuổi, và Natalia Obada, 32 tuổi, hiện đang hy vọng có thể nhanh chóng đưa cô bé Sophia - đứa con thứ hai của họ - đến Tây Ban Nha để phẫu thuật mí mắt chuyên khoa vì nếu không, cô bé có thể bị mù vĩnh viễn.
"Khoảng một tuần sau khi con bé chào đời, chúng tôi nhận thấy có điều gì đó không ổn vì Sophia không mở mắt đúng cách. Mí mắt của con bé trông nhỏ hơn nhiều so với những đứa trẻ khác", Petru nói.
Các bác sĩ chẩn đoán Sophia mắc hội chứng BPES. BPES là một nhóm hội chứng ảnh hưởng đến mí mắt hoặc vị trí của mắt.
Sophia mắc bệnh tiểu đường loại 1, khiến mí mắt của cô bé không thể mở hoàn toàn, hạn chế tầm nhìn và có khả năng dẫn đến mất thị lực vĩnh viễn.
Vì vậy, bố mẹ cô bé, đến từ Banbury, Oxfordshire, hy vọng sẽ gây quỹ được để trang trải chi phí y tế ở Tây Ban Nha, chi phí đi lại, chỗ ở và hỗ trợ y tế cho con gái nhỏ của họ.
Phương Linh(T/h)