Thay khớp gối cho cụ bà mắc bệnh tiểu đường
Bà Tịch, 86 tuổi, thoái hóa khớp gối phải độ 4 kèm bệnh tiểu đường, được bác sĩ thay khớp gối nhân tạo.
TS.BS Chế Đình Nghĩa, Phó trưởng Khoa Chấn thương chỉnh hình, Bệnh viện Đa khoa Tâm Anh Hà Nội, cho biết thoái hóa khớp gối và tiểu đường gây ra vòng xoắn bệnh lý (vicious cycle) ở người cao tuổi. Tiểu đường làm tăng đường huyết, tăng viêm mạn tính, gây tổn thương các vi mạch máu nuôi sụn khớp, khiến khớp thoái hóa nhanh hơn. Ngược lại, khớp gối thoái hóa nhanh khiến bệnh nhân đau, giảm dần vận động, tăng tình trạng đề kháng insulin, bệnh tiểu đường thêm nặng.
Bà Tịch bị thoái hóa khớp gối hai bên 20 năm trước. Hai năm gần đây, bà bệnh tiểu đường khiến khớp gối phải thoái hóa nhanh từ độ 3 lên độ 4, khớp gối trái thoái hóa tăng từ độ 2 lên độ 3, điều trị nội khoa không còn hiệu quả. Trước đây bà tập thể dục, đi bộ đều đặn để quản lý đường huyết nhưng hiện đi lại quanh nhà cũng khó khăn, đứng lên, ngồi xuống, nhấc chân đều đau buốt, bệnh tiểu đường tiến triển.
Bác sĩ Nghĩa chỉ định bà thay khớp gối phải để phục hồi vận động, đồng thời quản lý tiểu đường dễ hơn, khớp gối trái cũng đỡ thoái hóa.

Trước phẫu thuật, bà Tịch được khám đa chuyên khoa Cơ Xương Khớp, Hô Hấp, Tim mạch, Nội tiết - đái tháo đường, Gây mê hồi sức để đánh giá toàn diện các bệnh lý nền và đáp ứng đủ tiêu chuẩn thay khớp nhân tạo.
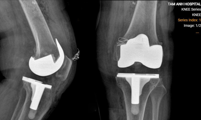
Bác sĩ chụp cắt lớp vi tính CT, tái tạo khớp gối lên môi trường 3D, giúp đo đạc chính xác các thông số để chọn loại khớp phù hợp, xác định vị trí và hướng đặt khớp, cân bằng sức căng dây chằng cho bà. Khi mổ, bà Tịch được gây tê tủy sống, kết hợp thuốc an thần nhẹ để ngủ thoải mái, tránh biến chứng của gây mê toàn thân. Bác sĩ Nghĩa rạch bộc lộ khớp gối, cắt xương và đặt khớp nhân tạo cho người bệnh, hơn một tiếng ca mổ hoàn thành.
Hậu phẫu, bà Tịch được điều trị giảm đau đa mô thức, sau một ngày bắt đầu tập phục hồi chức năng, có thể đứng lên và đi lại với sự hỗ trợ. Ngày thứ ba sau mổ, bà tự đi lại, ngừng thuốc giảm đau, hết đau nhói buốt do thoái hóa tại khớp gối, xuất viện hôm sau.

Việt Nam hiện có khoảng 7 triệu người mắc tiểu đường, chiếm khoảng 7% dân số. Bệnh gây nhiều biến chứng như xơ hóa, co rút gân, thoái hóa khớp, loãng xương, gãy xương bệnh lý, giảm chất lượng cuộc sống.
Tiến sĩ Nghĩa cho biết phẫu thuật thay khớp gối nhân tạo trước đây được coi là đại phẫu, bệnh nhân cần nằm viện dài ngày, nhất là bệnh nhân lớn tuổi, mắc nhiều bệnh nền. Bệnh nhân tiểu đường có chỉ số HbA1c cao thậm chí không đủ tiêu chuẩn phẫu thuật vì nguy cơ biến chứng trong mổ cao, tăng tỷ lệ nhiễm trùng hậu phẫu. Sự phối hợp đa chuyên khoa từ Hô hấp, Tim mạch đến Nội tiết giúp bệnh nhân tiểu đường được đánh giá và dự phòng toàn diện, nhờ đó, thay khớp gối nhân tạo an toàn.
Bác sĩ Nghĩa khuyến cáo người bệnh tiểu đường ngoài theo dõi chỉ số đường huyết hàng ngày, tuân thủ điều trị, khám định kỳ để phát hiện kịp thời các biến chứng như thoái hóa khớp. Bệnh nhân nên phẫu thuật sớm khi có chỉ định và đủ điều kiện thay khớp.
Thanh Long