Tin tức 24h
Kinh tế
Văn hóa
Giải trí
Đời sống
Du lịch
Beauty & Fashion
Doctor 247
Tin tức 24h
Kinh tế
Văn hóa
Giải trí
Đời sống
Du lịch
Beauty & Fashion
Doctor 247
thủng đại tràng
Cập nhập tin tức thủng đại tràng
Dùng vòi nước rửa ôtô xịt hậu môn gây thủng đại tràng
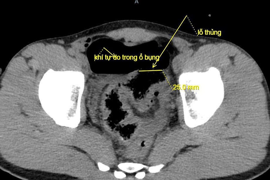
Người đàn ông 30 tuổi dùng vòi nước rửa ôtô (áp lực cao) xịt vào hậu môn làm thủng đại tràng, nhập viện cấp cứu.
Tin tức 24h
Thủng đại tràng do vòi xịt nước áp lực cao
Người đàn ông 30 tuổi dùng vòi nước rửa ôtô (áp lực cao) xịt vào hậu môn làm thủng đại tràng, nhập viện cấp cứu.
Đọc nhiều
POWERED BY
ONE
CMS
- A PRODUCT OF
NEKO