Thuyên tắc phổi do huyết khối lấp kín động mạch
Ông Kiên, 85 tuổi, sốt ho nhiều kèm khó thở, bác sĩ chẩn đoán thuyên tắc phổi do cục máu đông lấp đầy nhiều nhánh động mạch phổi.
TS.BS Chu Thị Hà, Đơn vị Hô hấp, Phòng khám Đa khoa Tâm Anh Quận 7, khám phổi bệnh nhân ghi nhận ran ngáy hai bên phế quản (âm thanh bất thường) do thu hẹp đường dẫn khí. Kết quả xét nghiệm cho thấy D-Dimer (phát hiện cục máu đông) tăng nhẹ, trên 500 ng/mL. Bác sĩ chẩn đoán bệnh nhân phổi tắc nghẽn mạn tính (COPD) cấp, kèm nhiều bệnh nền khác như tăng huyết áp, rối loạn lipid máu, rối loạn giấc ngủ. Ông được điều trị bằng kháng sinh, kháng viêm, long đàm, giãn phế quản và tái khám sau 3 ngày.
Ông tái khám muộn sau 6 ngày, vẫn còn ho, khó thở giảm nhưng hay mệt. Chỉ số D-Dimer tiếp tục tăng, bác sĩ chỉ định chụp cắt lớp vi tính (CT) Triple Rule Out có tiêm thuốc cản quang, lát cắt siêu mỏng, tái tạo đa thì. Đây là kỹ thuật chẩn đoán giúp đánh giá đồng thời ba nguyên nhân nguy hiểm thường có biểu hiện tương tự nhau là thuyên tắc phổi, bệnh mạch vành và bóc tách động mạch chủ.
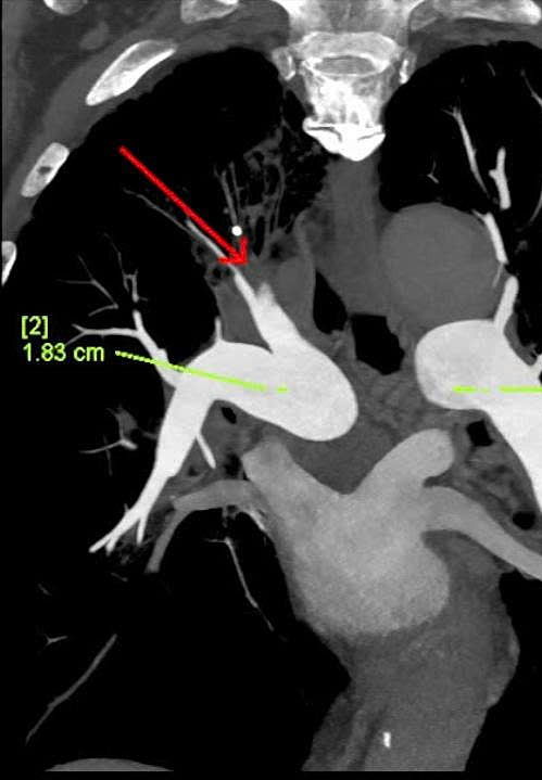
Kết quả ghi nhận ông Kiên còn có mảng xơ vữa gây hẹp 50-60% động mạch liên thất trước, xơ vữa dọc thành động mạch chủ, huyết khối lấp hoàn toàn nhánh A1, A2, đoạn xa của một phân nhánh A3 động mạch phổi phải. Bác sĩ xác định người bệnh bị thuyên tắc phổi trên nền COPD cấp bội nhiễm kèm nhiều bệnh lý tim mạch, chuyển hóa. Thuyên tắc phổi không được điều trị kịp thời sẽ gây gián đoạn dòng máu đến phổi, dẫn đến thiếu oxy toàn thân, tụt huyết áp, rối loạn nhịp tim, ngừng tim.

Bác sĩ chỉ định ông Kiên tiêm thuốc chống đông trong 8 ngày, sau đó chuyển sang thuốc kháng đông đường uống, phối hợp điều trị kháng sinh, thuốc giãn mạch vành, chống kết tập tiểu cầu, hạ mỡ máu... Sau 12 ngày điều trị tích cực, tình trạng khó thở và đau ngực giảm, sức khỏe ổn định, ông được xuất viện.
Có nhiều yếu tố có thể dẫn đến hình thành huyết khối ở phổi như trường hợp ông Kiên. Bệnh lý nền như COPD làm thay đổi áp lực lồng ngực và ảnh hưởng đến chức năng bơm máu của tim. Người bệnh có tiền sử tổn thương thành mạch do xơ vữa, phẫu thuật, đặt stent, ít vận động, nằm ngồi lâu gây ứ trệ dòng máu. Ung thư, bệnh tự miễn, suy giãn tĩnh mạch chi dưới cũng làm tăng nguy cơ thuyên tắc. "Đây là nguyên nhân gây tử vong phổ biến do bệnh tim mạch, chỉ đứng sau nhồi máu cơ tim và đột quỵ", bác sĩ Hà nói.

Triệu chứng thuyên tắc phổi đa dạng gồm khó thở khi gắng sức hoặc nghỉ ngơi, đau ngực, ngất xỉu, ho ra máu, chóng mặt, vã mồ hôi, sốt, tím tái. Một số trường hợp diễn tiến âm thầm, xuất hiện đột ngột và rất nặng.
Bác sĩ Hà khuyến cáo người cao tuổi có nhiều bệnh nền, cần tuân thủ chặt chẽ phác đồ điều trị, dùng thuốc đúng chỉ định, tái khám đúng hẹn. Khi xuất hiện các đợt cấp trên nền bệnh mạn tính, người bệnh không tự ý ngưng thuốc hoặc trì hoãn tái khám.
Quyên Phan
*Tên người bệnh đã được thay đổi
| Độc giả gửi câu hỏi về hô hấp tại đây để bác sĩ giải đáp |