Tiêm thuốc tiêu sợi huyết kịp thời cứu người bệnh đột quỵ
Bà Tiên, 74 tuổi, yếu nửa người bên phải sau đó hồi phục một phần, chụp MRI xác định nhồi máu não, được bác sĩ can thiệp bằng thuốc tiêu sợi huyết.
Khi đến Phòng khám Đa khoa Tâm Anh Quận 7 sau hai giờ xuất hiện triệu chứng, nhịp tim của bà Tiên 110 lần/phút, huyết áp cao 160/80 mmHg, sức cơ tay, chân lần lượt là 3/5 và 2/5.
BS.CKI Hồ Ngọc Bảo, chuyên khoa Cấp cứu, cho biết bà Tiên không có tiền sử tăng huyết áp, đái tháo đường hay các bệnh tim mạch. Sau khi nhập cấp cứu, tình trạng có xu hướng tự cải thiện, bà tỉnh táo hơn, có thể nói chuyện được. Theo thang điểm đánh giá mức độ nặng đột quỵ (NIHSS), tình trạng của bà Tiên ở mức 3 điểm, tức mức độ nhẹ, cần theo dõi thêm.
Theo bác sĩ Bảo, trường hợp bệnh cải thiện và điểm NIHSS thấp như bà Tiên thường nhầm lẫn với TIA (cơn thiếu máu não thoáng qua), thông thường tự cải thiện trong vòng 24 giờ. Song bác sĩ không loại trừ khả năng người bệnh mắc đột quỵ tiến triển (Progressive Stroke), triệu chứng cải thiện trong thời gian ngắn nhưng sẽ trở nặng sau đó.
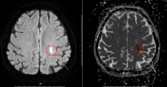
Để tránh bỏ lỡ thời gian điều trị lý tưởng, êkíp kích hoạt quy trình Code stroke (cấp cứu đột quỵ) để chụp CT và MRI cho kết quả sớm nhằm khẳng định chẩn đoán. Kết quả chụp MRI cho thấy nhồi máu, phù hợp với biểu hiện yếu liệt nửa người bên phải (yếu liệt xảy ra bên nào thì vị trí nhồi máu não ở bên ngược lại).

Chưa tới một giờ sau khi tự phục hồi, bà Tiên xuất hiện các triệu chứng trở lại, yếu liệt tay chân nặng hơn. Tuy nhiên, tình trạng đột quỵ xảy ra trong giai đoạn giờ "vàng" (trong 4,5 giờ đầu tiên kể từ khi có triệu chứng), bác sĩ chỉ định người bệnh có thể sử dụng thuốc tiêu sợi huyết đường tĩnh mạch, giúp tan cục máu đông và tái thông mạch máu não.
Sau 15 phút tiêm thuốc, bà Tiên đáp ứng tốt, sức cơ tay chân phải cải thiện rõ rệt 5/5, sau khi xử trí cấp cứu, tiếp tục theo dõi chuyên sâu tại Bệnh viện Đa khoa Tâm Anh TP HCM.

Bác sĩ Bảo cho hay nhiều người đột quỵ bỏ lỡ thời gian "vàng" vì chủ quan, tự theo dõi tại nhà hoặc nhầm lẫn triệu chứng với mệt mỏi thông thường. Bác sĩ khuyến cáo những người có dấu hiệu như yếu liệt tay chân, méo miệng, nói khó, tê nửa người, choáng váng đột ngột cần gọi cấp cứu và đến ngay bệnh viện có thể điều trị đột quỵ.
Nhật Thành
*Tên người bệnh đã được thay đổi
| Độc giả gửi câu hỏi về bệnh thần kinh tại đây để bác sĩ giải đáp |