Tưởng đau dạ dày hóa u gây lồng ruột
Bà Thủy, 65 tuổi, đau bụng trên rốn, trào ngược, tưởng đau dạ dày, bác sĩ phát hiện khối u gây lồng ruột non.
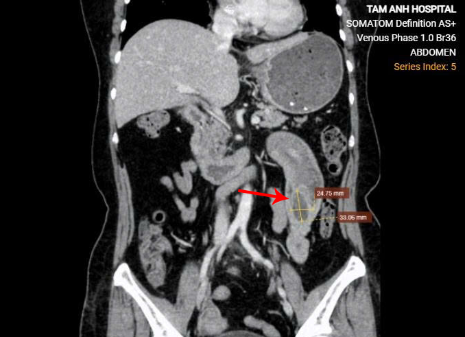
Bà Thủy uống thuốc đau dạ dày gần 5 tháng, gần đây đau bụng nặng, cấp cứu tại Bệnh viện Đa khoa Tâm Anh Hà Nội, siêu âm phát hiện khối u gây lồng đoạn ruột non dài 30 cm. ThS.BS.CKII Ngô Sỹ Thanh Nam, Phó khoa Ngoại tổng hợp, cho biết lồng ruột thường gặp ở trẻ em, ít khi phát hiện ở người lớn tuổi như bà Thủy. Kết quả chụp CT cho thấy cuối đoạn ruột lồng của bà Thủy có khối u 2,5x3 cm, vách u không ngấm thuốc, bờ đều, không thấy hạch hay các vi khối ngấm thuốc xung quanh.
Bác sĩ Nam chẩn đoán khối u lành tính, chỉ định mổ nội soi, tháo lồng, cắt đoạn ruột non chứa u rồi nối lại. Thời gian "vàng" để phẫu thuật lồng ruột là 6 tiếng, trước khi ruột hoại tử làm tăng nguy cơ thủng, tạo điều kiện cho vi khuẩn, chất tiêu hóa thoát khỏi lòng ruột, tràn vào ổ bụng gây viêm phúc mạc. Trong vòng hơn một giờ, bác sĩ gây mê nội khí quản, phẫu tích tháo lồng ruột cho người bệnh, cắt đoạn ruột non chứa khối u.

Hậu phẫu, bà Thủy ít đau, có thể đi lại, ăn uống ngay sau 24 giờ, dự kiến xuất viện sau 4 ngày. Kết quả giải phẫu mô bệnh học, hóa mô miễn dịch cho thấy khối u ruột non là u mô thừa (Hamartoma) được cấu tạo từ mô mỡ bình thường, lành tính. Người bệnh không cần điều trị thêm.

Đa số trường hợp lồng ruột ở trẻ vô căn, được điều trị bằng thủ thuật không xâm lấn như bơm hơi vào đại tràng để đẩy ruột về vị trí cũ. Ngược lại, lồng ruột ở người trưởng thành là tình trạng cấp cứu nguy hiểm, đa số có nguyên nhân thực thể như khối u, polyp...
Theo bác sĩ Nam, trước đây chỉ dựa vào hình ảnh siêu âm không thể đánh giá được toàn diện tình trạng lồng ruột ở người lớn, khó định hướng nguyên nhân. Hiện, các kỹ thuật chẩn đoán hình ảnh tiên tiến như CT đa lát cắt hỗ trợ phẫu thuật viên đánh giá lồng ruột ở người lớn, xác định vị trí khối lồng, tình trạng mạch máu, nguyên nhân, từ đó phẫu thuật kịp thời, hiệu quả.
Thanh Long
| Độc giả đặt câu hỏi về bệnh tiêu hóa tại đây để bác sĩ giải đáp |