Vì sao lồng ruột ở người lớn nguy hiểm?
Lồng ruột phổ biến ở trẻ dưới ba tuổi, ít gặp ở người lớn song nguy cơ biến chứng cao, có thể gây sốc nhiễm khuẩn.
Lồng ruột là tình trạng một đoạn ruột di chuyển và chui vào đoạn ruột kế cận, thường xảy ra ở ruột non, ít gặp hơn ở ruột già.
ThS.BS.CKII Ngô Sỹ Thanh Nam, Phó trưởng khoa Ngoại tổng hợp, Bệnh viện Đa khoa Tâm Anh Hà Nội, cho biết dưới 5% số ca lồng ruột xảy ra ở người trưởng thành. Tuy nhiên, bệnh lý phức tạp và nguy cơ biến chứng nhanh nên người bệnh cần được can thiệp y tế ngay. Điểm khác biệt cơ bản giữa lồng ruột ở trẻ em và người lớn là nguyên nhân gây bệnh. Ở trẻ em, khoảng 75-90% các trường hợp vô căn, tức không tìm thấy nguyên nhân cụ thể. Ở người lớn, phần lớn các ca lồng ruột có nguyên nhân thực thể, tức có tổn thương hoặc bất thường về cấu trúc, sinh học. Trong đó, hơn 65% do một khối u lành tính (polyp, u mỡ...) hoặc ác tính (như ung thư biểu mô tuyến).
Khi một khối u trong ruột lớn dần, sự co bóp của ruột kéo theo khối u khiến một đoạn ruột lồng vào đoạn bên cạnh. Ở người lớn, lồng ruột xảy ra ở trực tràng thường liên quan đến ung thư. Một số bệnh như dính ruột sau phẫu thuật, lạc nội mạc tử cung hoặc các bệnh như viêm ruột cũng gây ra lồng ruột.

Bác sĩ Nam đánh giá lồng ruột gây nguy hiểm vì khả năng cao gây biến chứng.
Làm tắc nghẽn đường tiêu hóa: Các đoạn ruột lồng vào nhau làm hẹp hoặc tắc nghẽn hoàn toàn lòng ruột, gây biến chứng tắc ruột. Bệnh nhân xuất hiện các dấu hiệu đau bụng, chướng bụng, nôn, bí trung - đại tiện.
Thiếu máu cục bộ và hoại tử: Đoạn ruột lồng vào bên trong bị đoạn ruột bên ngoài chèn ép, gây tắc nghẽn mạch máu nuôi, quai ruột không nhận được máu dẫn đến hoại tử.
Thủng ruột và viêm phúc mạc: Các đoạn ruột bị hoại tử rất dễ thủng, vi khuẩn, chất tiêu hóa thoát ra khỏi lòng ruột, tràn vào ổ bụng, gây viêm phúc mạc.
Sốc và tử vong: Viêm phúc mạc có thể dẫn đến sốc, tử vong nếu không được điều trị kịp thời.
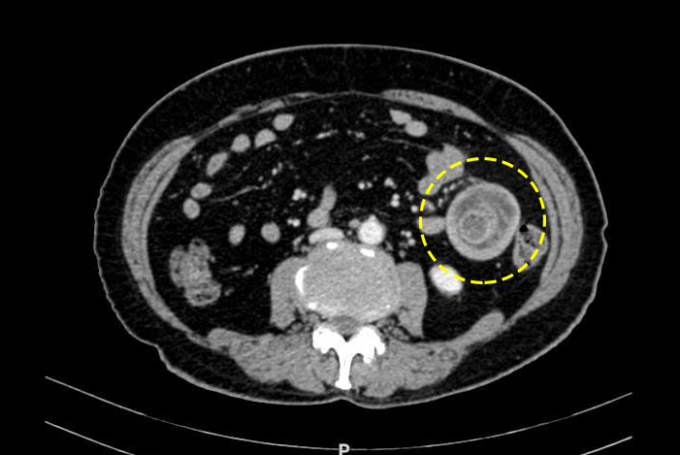
Bác sĩ có thể phát hiện lồng ruột khi khám lâm sàng. Siêu âm bụng có thể cho thấy lồng ruột nhưng độ nhạy kém hơn CT do bị ảnh hưởng bởi khí trong các quai ruột. CT cũng hỗ trợ xác định vị trí tắc nghẽn, đánh giá tình trạng mạch máu và định hướng xác định nguyên nhân gây lồng ruột.

Lồng ruột ở trẻ em thường được điều trị bằng thủ thuật không xâm lấn như bơm hơi vào đại tràng để đẩy đoạn ruột về vị trí cũ. Trong khi đó, hầu hết người lớn bị lồng ruột cần phẫu thuật để tháo lồng và xử trí nguyên nhân gây lồng ruột.
Nếu lồng ruột do nguyên nhân ung thư, người bệnh cần được điều trị phẫu thuật theo nguyên tắc phẫu thuật ung thư, đảm bảo loại bỏ hoàn toàn khối u, vét hạch hệ thống. Bác sĩ quyết định phẫu thuật mở hay nội soi tùy thuộc vào tình trạng cụ thể của bệnh nhân, điều kiện trang thiết bị.
Theo bác sĩ Nam, tiên lượng của bệnh nhân lồng ruột phụ thuộc trực tiếp vào thời điểm chẩn đoán, nguyên nhân gây bệnh. Nếu được phát hiện sớm, can thiệp kịp thời, kết quả điều trị thường rất khả quan. Khi trì hoãn điều trị, tỷ lệ tử vong, biến chứng sẽ tăng cao do hoại tử ruột và nhiễm trùng huyết. Do đó, khi có triệu chứng nghi ngờ, bệnh nhân nên tới bệnh viện đa chuyên khoa để được chẩn đoán, điều trị kịp thời.
Thanh Long
| Độc giả đặt câu hỏi về bệnh tiêu hóa tại đây để bác sĩ giải đáp |