Viêm gan B mạn tính tiến triển ung thư
Ông Phi, 63 tuổi, viêm gan B mạn tính 10 năm sức khỏe ổn định nên không tái khám định kỳ, nay bác sĩ chẩn đoán ung thư gan giai đoạn sớm.
Giai đoạn đầu phát hiện mắc bệnh, ông Phi được điều trị bằng thuốc kháng virus viêm gan B (HBV). Sau một thời gian điều trị, tải lượng HBV DNA giảm, tình trạng viêm gan được kiểm soát ổn định, ông được ngừng thuốc song cần tái khám định kỳ theo dõi tiến triển. Tuy nhiên, ông không kiểm tra trong nhiều năm.
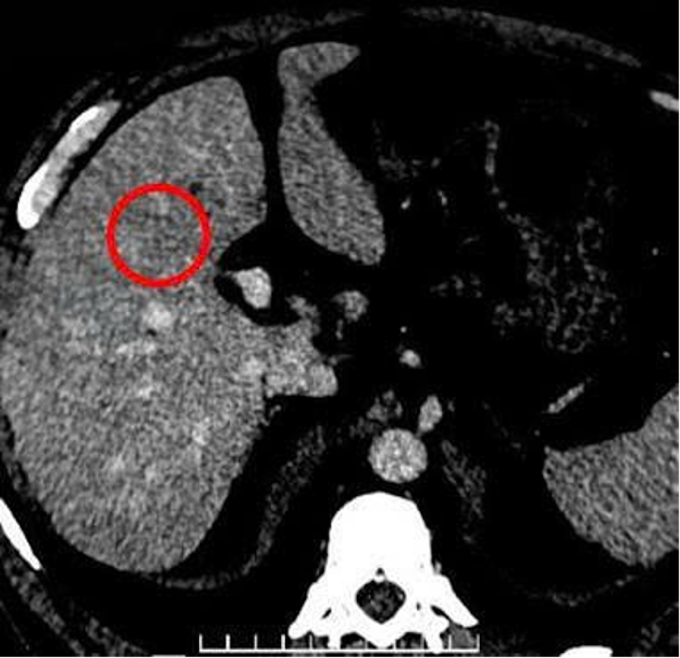
Gần đây, ông thường xuyên mệt mỏi, ăn uống kém, đau âm ỉ vùng hạ sườn phải, đến Bệnh viện Đa khoa Tâm Anh TP HCM khám. Chụp cắt lớp vi tính (CT) cho thấy tại phân thùy 4 của gan có một khối tổn thương giảm đậm độ, kích thước khoảng 22x24 mm, tăng quang rõ ở thì động mạch. Tại các hạ phân thùy 6 và 7 còn ghi nhận thêm một vài nốt nhỏ kích thước khoảng 5 mm. Sinh thiết gan dưới hướng dẫn siêu âm cho kết quả ung thư biểu mô tế bào gan (hepatocellular carcinoma - HCC) ở giai đoạn sớm.

Sau hội chẩn, bác sĩ chỉ định điều trị bằng phương pháp đốt u gan bằng sóng cao tần (Radiofrequency Ablation - RFA). BS.CKI Hoàng Đình Thành, khoa Nội Tiêu hóa, Trung tâm Nội soi và Phẫu thuật Nội soi Tiêu hóa, cho biết đây là kỹ thuật điều trị xâm lấn tối thiểu, sử dụng nhiệt năng từ sóng vô tuyến để phá hủy các tế bào ung thư. Phương pháp này thường được áp dụng cho những khối u gan kích thước nhỏ, ung thư giai đoạn sớm.
Sau can thiệp, người bệnh ít đau, tình trạng sức khỏe ổn định, xuất viện sau một ngày. Ông Phi được hẹn tái khám định kỳ để theo dõi hiệu quả điều trị, tầm soát nguy cơ tái phát.

Viêm gan B mạn tính là một trong những nguyên nhân hàng đầu dẫn đến xơ gan và ung thư gan. Nguy cơ này cao hơn khi virus tiếp tục nhân lên trong thời gian dài, gây viêm gan mạn tính và tổn thương gan tiến triển.
Theo bác sĩ Thành, các thuốc kháng virus hiện nay có khả năng ức chế virus viêm gan B nhân lên, giúp giảm nguy cơ xơ gan và ung thư gan. Tuy nhiên, các thuốc này không thể loại bỏ hoàn toàn virus khỏi cơ thể. Khi virus đã được ức chế bền vững trong thời gian dài, men gan duy trì bình thường và chưa có dấu hiệu xơ gan, bác sĩ chuyên khoa có thể cân nhắc ngừng thuốc kháng virus. Tuy nhiên, sau khi ngừng điều trị, người bệnh vẫn cần được theo dõi sát vì nguy cơ tái hoạt động của virus vẫn có thể xảy ra.
Ung thư gan phổ biến tại Việt Nam. Globocan ghi nhận năm 2022 nước ta có khoảng 26.500 ca mắc mới và hơn 23.000 trường hợp tử vong do bệnh. Bác sĩ Thành cho hay nhiễm virus viêm gan B và C được xem là những yếu tố nguy cơ quan trọng nhất, chiếm khoảng 80-90% các trường hợp ung thư gan.
Bác sĩ khuyến cáo người có nguy cơ cao nên khám sức khỏe định kỳ 6 tháng một lần. Bác sĩ có thể chỉ định xét nghiệm chức năng gan, đánh giá tải lượng HBV DNA, siêu âm gan và các xét nghiệm cần thiết để tầm soát ung thư gan. Phát hiện sớm các tổn thương gan giúp tăng khả năng điều trị, cải thiện tiên lượng sống cho người bệnh.
Quyên Phan
*Tên bệnh nhân đã được thay đổi
| Độc giả đặt câu hỏi về bệnh tiêu hóa tại đây để bác sĩ giải đáp |