Vỡ u não sau cơn tức giận kèm con học

14/04/2026 10:50

Tức giận khi kèm con học bài, một phụ huynh tại Quảng Đông vỡ u não cấp tính, buộc các bác sĩ mở hộp sọ khẩn cấp để cứu mạng.

Guangdong Yangcheng Evening News ngày 12/4 đưa tin sự việc xảy ra khi người mẹ tên Lâm kèm con làm bài tập vào buổi tối. Thấy con tiếp thu chậm, cô mất kiên nhẫn và nổi cơn thịnh nộ. Ngay lúc đó, người phụ nữ ôm đầu đau nhức dữ dội, mắt tối sầm, thị lực suy giảm. Người nhà lập tức đưa Lâm đến bệnh viện địa phương cấp cứu.

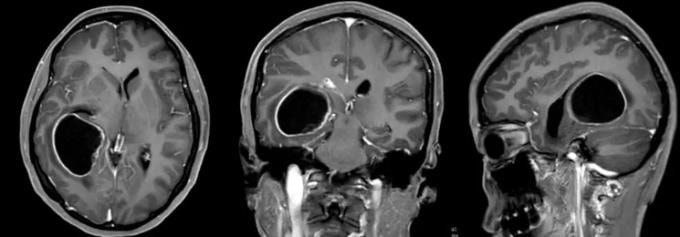
Kết quả chụp CT và CTA (cắt lớp vi tính mạch máu não) ban đầu phát hiện một khối choán chỗ lớn vùng thái dương - đỉnh - chẩm phải, kèm dấu hiệu đột quỵ và xuất huyết ngay trong khối u. Bác sĩ dùng thuốc chống phù não nhưng tình trạng người bệnh vẫn nguy kịch. Bệnh viện tuyến dưới nhanh chóng chuyển cô đến Bệnh viện Não 39 Quảng Đông ngay trong đêm.

Kết quả chụp chiếu trước phẫu thuật của bệnh nhân Lâm. Ảnh: Ycwb
Kết quả chụp chiếu trước phẫu thuật của bệnh nhân Lâm. Ảnh: Ycwb

Bác sĩ Đặng Thiếu Dũng tiếp nhận Lâm trong tình trạng nôn mửa liên tục và lơ mơ. Kết quả MRI xác nhận khối u gây não úng thủy. Êkíp khoa Ngoại thần kinh VII lập tức hội chẩn và quyết định phẫu thuật cắt bỏ khối u. Trưởng khoa Ngô Thái Hoa trực tiếp bóc tách hoàn toàn khối u dọc theo vùng biên tổn thương, đồng thời bảo tồn nguyên vẹn cấu trúc não thất bên. Suốt ca mổ, các bác sĩ dùng hệ thống điện sinh lý thần kinh giám sát liên tục nhằm đảm bảo độ chính xác cao nhất.

Phân tích giải phẫu bệnh sau mổ kết luận Lâm mắc u tế bào thần kinh đệm lan tỏa độ cao (cấp độ 3-4 theo phân loại của Tổ chức Y tế Thế giới - WHO), mang tính ác tính rất cao. Mười ngày sau ca phẫu thuật, người bệnh hồi phục, đi lại bình thường và xuất viện, không mang di chứng. Cô thừa nhận bản thân bỏ qua các triệu chứng đau đầu, chóng mặt dai dẳng từ trước. Người mẹ tự hứa từ nay chấm dứt việc ép con học đến mức vắt kiệt sức lực.

Trưởng khoa Ngô Thái Hoa cảnh báo các tổn thương choán chỗ trong sọ thường tiến triển âm thầm. Cảm xúc kích động mạnh làm huyết áp tăng và thay đổi đột ngột dòng máu lưu thông trong não. Khối u não chứa mạng lưới mạch máu dày đặc hoặc các mạch máu mới hình thành rất yếu ớt, dễ vỡ, gây xuất huyết hoặc làm trầm trọng thêm tình trạng phù nề. Bác sĩ khuyên mọi người quản lý tốt cảm xúc, duy trì tâm trạng ổn định nhằm bảo vệ sức khỏe não bộ.

Một phụ huynh kèm con học tại nhà ở Thượng Hải, Trung Quốc, tháng 3/2021. Ảnh minh họa: China Daily
Một phụ huynh kèm con học tại nhà ở Thượng Hải, Trung Quốc, tháng 3/2021. Ảnh minh họa: China Daily

Bình Minh (Theo Sina, Guangdong Yangcheng Evening News)

Theo vnexpress.net
https://vnexpress.net/vo-u-nao-sau-con-tuc-gian-kem-con-hoc-5062072.html
Copy Link
https://vnexpress.net/vo-u-nao-sau-con-tuc-gian-kem-con-hoc-5062072.html
    Nổi bật
        Mới nhất
        Vỡ u não sau cơn tức giận kèm con học
        • Mặc định

        POWERED BY ONECMS - A PRODUCT OF NEKO