Vỡ xương mũi sau chấn thương
Chị Hàn, 30 tuổi, bị tác động mạnh vào mặt khiến xương mũi vỡ vụn, gãy hai răng, được bác sĩ phẫu thuật nâng xương chỉnh hình mũi.
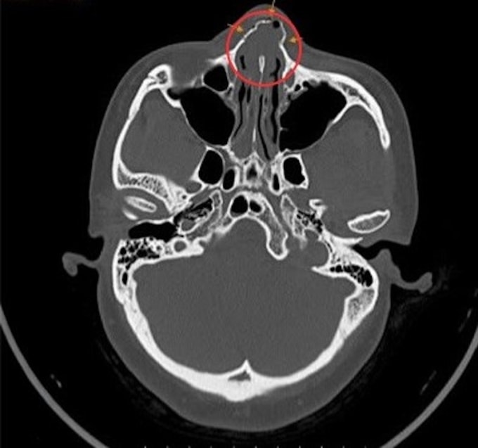
BS.CKI Châu Trà Linh, Trung tâm Tai Mũi Họng, Bệnh viện Đa khoa Tâm Anh TP HCM, cho biết chị Hàn nhập viện trong tình trạng chảy máu mũi đã cầm, đau vùng mũi và má trái, ù tai. Bác sĩ nội soi tai mũi họng ghi nhận vách ngăn mũi lệch, khe sàn mũi hai bên đọng dịch kèm máu tươi lẫn máu cũ. Kết quả chụp CT vùng hàm mặt cho thấy xương chính mũi gãy kín thành nhiều mảnh, chấn thương phần mềm vùng má bên trái, chấn thương răng.

Bác sĩ kê đơn thuốc điều trị cho người bệnh nhằm giảm sưng nề vùng mũi, ổn định ban đầu trước khi phẫu thuật.
Trong quá trình phẫu thuật, ThS.BS.CKII Phạm Thái Duy, Trung tâm Tai Mũi Họng, dùng kềm chuyên dụng nâng xương chỉnh mũi, chỉnh di lệch mũi, kiểm tra xương mũi thẳng. Cuối cùng đặt meche (gạc) cố định xương trong mũi, hạn chế di lệch, chảy máu phù nề sau phẫu thuật.
Bác sĩ Thái Duy cho biết người bệnh từng nâng mũi, chỉnh sửa dáng mũi nhưng may mắn chấn thương vùng mũi chưa tác động đến chất liệu được dùng trong lần phẫu thuật trước, nhờ đó không cần lấy ra hoặc thay thế. Phẫu thuật lần này nhằm nắn chỉnh lại các cấu trúc bị gãy là phần xương mũi, xương hàm mặt bên trong.
Hậu phẫu, chị Hàn hồi phục tốt, xuất viện sau ba ngày. Tái khám, vết mổ lành thương tốt, mũi cân đối, đường thở thông thoáng.

Bác sĩ Thái Duy khuyến cáo người bị gãy xương mũi cần điều trị sớm và đúng cách, khoảng 4-7 ngày đầu sau chấn thương, khi can xương chưa hình thành. Đây là thời điểm bác sĩ có thể nắn chỉnh xương mũi trở lại vị trí ban đầu, giúp giữ dáng mũi tự nhiên, hạn chế biến dạng. Nếu để muộn, can xương hình thành lệch khiến sống mũi gồ, lõm hoặc vẹo sang một bên, làm mất cân đối khuôn mặt. Lâu dần, mô mềm quanh mũi xơ hóa, co kéo khiến da mũi biến dạng, kém đàn hồi, ảnh hưởng thẩm mỹ, gây nghẹt mũi, khó thở do vách ngăn bị lệch theo.
Sau chấn thương, mũi sưng đau, bầm tím, có vết xây xước ở da vùng mũi, biến dạng mũi, chảy máu hoặc nghẹt mũi... người bệnh nên đến bác sĩ chuyên khoa Tai Mũi Họng để được chẩn đoán, điều trị kịp thời.
Uyên Trinh
*Tên người bệnh đã thay đổi